Giới thiệu về dán sứ Veneer
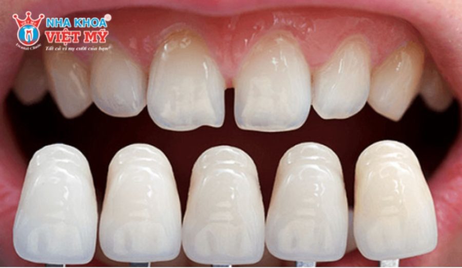
Dán sứ Veneer là kỹ thuật dán một lớp sứ siêu mỏng (chỉ 0,3–0,5mm) lên mặt ngoài của răng nhằm cải thiện hình dáng, màu sắc mà không cần mài nhiều mô răng thật. Lớp sứ được chế tác tinh tế, ôm khít răng thật, phản chiếu ánh sáng tự nhiên như men răng, mang lại nụ cười trắng sáng, tự nhiên và bền đẹp.

Điểm nổi bật của kỹ thuật này là giữ giữ nguyên cấu trúc răng thật, đảm bảo ăn nhai thoải mái và tính thẩm mỹ cao nhờ độ trong mờ của sứ tương tự men răng tự nhiên. Ngoài ra, Veneer còn giúp che phủ các khuyết điểm nhẹ như răng nhiễm màu, sứt mẻ, thưa hoặc lệch nhẹ. Tuy nhiên, để đạt hiệu quả tối ưu và tránh tác hại của dán sứ Veneer như ê buốt, viêm nướu hay bong sứ, việc thực hiện đúng kỹ thuật và chọn nha khoa uy tín là yếu tố then chốt.
Tác hại khi dán sứ Veneer sai kỹ thuật hoặc kém chất lượng
Mặc dù dán sứ Veneer là phương pháp thẩm mỹ răng tiên tiến, nhưng nếu thực hiện sai kỹ thuật hoặc dùng vật liệu sứ kém chất lượng, người làm răng có thể đối mặt với nhiều hậu quả nghiêm trọng, ảnh hưởng trực tiếp đến sức khỏe răng miệng và khớp thái dương hàm. Dưới đây là những tác hại của dán sứ Veneer không đúng cách:

Sai lệch khớp cắn
Sai kỹ thuật có thể gây sai khớp cắn: hai hàm không khớp, đau hàm, mỏi cơ khi nhai; lâu ngày có thể mòn răng, rối loạn khớp thái dương hàm. Nếu tình trạng này kéo dài, răng có thể bị mòn, sứt, thậm chí gây rối loạn khớp thái dương hàm. Ngoài ra, khớp cắn sai còn khiến khuôn mặt mất cân đối, ảnh hưởng đến thẩm mỹ nụ cười và giọng nói.
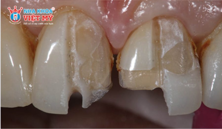
Làm hỏng răng thật và tủy răng
Một ưu điểm của Veneer là mài rất ít, nhưng nếu bác sĩ mài quá sâu (>0,5mm), lớp men bảo vệ sẽ bị mất, làm răng nhạy cảm, ê buốt kéo dài. Trường hợp nặng có thể viêm tủy, buộc phải điều trị hoặc bọc sứ toàn phần.

Răng bị cộm cấn khi ăn nhai
Nếu miếng sứ Veneer được chế tác không chuẩn hoặc dán lệch vị trí, khi ăn nhai sẽ cảm thấy răng bị cộm, cấn và không khít sát với nướu. Cảm giác vướng víu này không chỉ gây khó chịu trong quá trình ăn uống mà còn khiến răng mất đi sự tự nhiên vốn có. Khi tình trạng kéo dài, răng thật bên dưới có thể bị tác động lực không đều, dẫn đến đau nhức hoặc mòn mặt nhai.
Gây bệnh lý răng miệng
Nếu miếng dán sứ không khít hoàn toàn, khe hở giữa răng thật và mặt sứ sẽ trở thành nơi tích tụ mảng bám, thức ăn và vi khuẩn. Lâu dần, tình trạng này gây viêm nướu, hôi miệng, sâu răng ngầm hoặc nướu thâm đen. Những bệnh lý này không chỉ làm giảm tuổi thọ Veneer mà còn ảnh hưởng đến sức khỏe răng miệng, buộc người bệnh phải tháo bỏ và phục hình lại.
Khi nào nên và không nên dán sứ Veneer?
Dán sứ Veneer là phương pháp phục hình thẩm mỹ được nhiều người lựa chọn nhờ khả năng cải thiện nhanh chóng nụ cười mà vẫn bảo tồn răng thật. Tuy nhiên, không phải ai cũng phù hợp để thực hiện kỹ thuật này. Việc xác định đúng trường hợp giúp tránh các tác hại của dán sứ Veneer và đạt hiệu quả thẩm mỹ tối ưu.
Khi nào nên dán sứ Veneer?
Bạn nên dán sứ Veneer khi răng thật của mình vẫn còn khỏe mạnh, không bị sâu hay tổn thương tủy nhưng có những khuyết điểm nhỏ về hình dáng hoặc màu sắc. Cụ thể như:
- Răng bị ố vàng, xỉn màu mà tẩy trắng không mang lại hiệu quả.
- Răng thưa nhẹ, hơi lệch hoặc không đều, muốn cải thiện nhanh mà không cần chỉnh nha.
- Răng sứt mẻ, mòn men hoặc có kích thước nhỏ hơn các răng còn lại.
- Muốn có nụ cười thẩm mỹ, trắng sáng nhưng vẫn giữ được cảm giác tự nhiên khi ăn nhai.
Với những trường hợp này, Veneer không chỉ giúp cải thiện vẻ ngoài mà còn duy trì được cấu trúc răng thật, mang lại kết quả thẩm mỹ bền lâu và an toàn.

Khi nào không nên dán sứ Veneer?
Dán sứ Veneer chỉ phù hợp với một số trường hợp nhất định. Những trường hợp sau không nên hoặc cần cân nhắc kỹ trước khi thực hiện:
- Răng bị sâu nặng, mòn men răng nghiêm trọng hoặc viêm tủy.
- Người có khớp cắn sai lệch lớn, răng hô, móm, lệch trục nhiều cần chỉnh nha trước.
- Răng bị thiếu men, men yếu làm giảm độ bám dính của Veneer.
Trong những trường hợp này, bác sĩ sẽ đưa ra những phương án thay thế phù hợp hơn như như bọc răng sứ toàn phần hoặc niềng răng chỉnh nha góp phần giữ gìn sức khỏe răng miệng và mang lại hiệu quả lâu dài hơn.
Chi phí dán sứ Veneer tại Nha khoa Việt Mỹ
Tại Nha khoa Việt Mỹ, chi phí dán sứ Veneer hiện là 11.000.000 VNĐ/răng, bảo hành 10 năm chính hãng. Toàn bộ vật liệu đều là sứ cao cấp nhập khẩu từ Đức, đến từ các thương hiệu uy tín như GC (Đức), Emax và Lisi.

Các dòng sứ này được làm từ sứ thủy tinh Lithium Disilicate là vật liệu nổi tiếng về độ trong suốt, khả năng phản quang tự nhiên và độ bền cao. Nhờ vậy, răng sau khi dán Veneer không chỉ đẹp, tự nhiên như răng thật mà còn đảm bảo an toàn, không gây kích ứng hay thâm nướu. Việc thực hiện đúng kỹ thuật bởi bác sĩ chuyên môn cao tại Nha khoa Việt Mỹ giúp kết quả đạt được vừa thẩm mỹ, vừa bền vững theo thời gian.
Quy trình dán sứ Veneer chuẩn y khoa
Để đảm bảo kết quả thẩm mỹ tối ưu, an toàn và bền vững, quy trình dán sứ Veneer tại Nha khoa Việt Mỹ được thực hiện theo các bước chuẩn y khoa, ứng dụng công nghệ hiện đại và tuân thủ nghiêm ngặt quy định vô khuẩn trong nha khoa. Mỗi giai đoạn đều được bác sĩ theo sát cẩn thận nhằm đảm bảo miếng sứ khít sát, tự nhiên và phù hợp tuyệt đối với cấu trúc răng thật của khách hàng.

Bước 1: Thăm khám và lên kế hoạch điều trị
Bác sĩ kiểm tra tổng quát tình trạng răng miệng, chụp phim X-quang (nếu cần) và tư vấn loại răng sứ phù hợp với hình dáng khuôn mặt, màu da và mong muốn của khách hàng.
Bước 2: Xử lý bề mặt răng và lấy dấu răng chính xác
Bác sĩ sẽ vệ sinh răng miệng và chỉ mài một lớp men rất mỏng (khoảng 0,2–0,5mm) trên bề mặt răng cần dán, không xâm lấn sâu, không ảnh hưởng tủy. Sau đó tiến hành lấy dấu răng chính xác gửi về labo để chế tác mặt dán Veneer.
Bước 3: Thiết kế và chế tác Veneer tại labo
Từ mẫu dấu răng được lấy, các miếng dán sứ Veneer được thiết kế và chế tác tại labo bằng công nghệ CAD/CAM tiên tiến, giúp tạo hình chính xác, ôm khít bề mặt răng và đạt màu sắc tự nhiên, đồng điệu với nụ cười và khuôn mặt của khách hàng.
Bước 3: Thử Veneer và điều chỉnh
Sau khi miếng sứ Veneer được chế tác hoàn chỉnh, bác sĩ sẽ tiến hành thử lên răng để đánh giá độ khít, màu sắc và hình dáng có phù hợp hay không, đồng thời kiểm tra cảm giác khi ăn nhai.
Bước 4: Dán Veneer cố định và hướng dẫn chăm sóc
Veneer được gắn cố định bằng keo chuyên dụng và chiếu đèn quang trùng hợp để tăng độ bám dính, giúp miếng sứ ôm sát nướu, bền chắc và đạt tính thẩm mỹ tối đa. Cuối cùng, điều chỉnh khớp cắn, kiểm tra độ chắc chắn và hướng dẫn cách chăm sóc răng Veneer để duy trì kết quả thẩm mỹ lâu dài.
Những câu hỏi thường gặp về dán răng sứ
Dưới đây là một số thắc mắc phổ biến mà khách hàng thường đặt ra khi tìm hiểu về phương pháp dán sứ Veneer:

Dán răng sứ Veneer có gây đau nhức không?
Quá trình dán sứ Veneer gần như không gây đau, vì bác sĩ chỉ mài rất mỏng lớp men ngoài và có thể gây tê nhẹ nếu cần. Sau khi gắn sứ, có thể hơi ê buốt 1–2 ngày đầu nhưng sẽ nhanh chóng hết khi răng quen với lớp sứ mới.
Dán răng sứ có thể tháo ra được không?
Câu trả lời là có. Veneer có thể tháo ra và thay mới nếu cần chỉnh sửa hoặc đổi kiểu dáng. Tuy nhiên, việc này nên được thực hiện bởi bác sĩ có chuyên môn cao để tránh làm tổn thương răng thật.
Răng sứ Veneer có bị hôi miệng không?
Nếu được dán đúng kỹ thuật và chăm sóc tốt, Veneer không gây hôi miệng. Ngược lại, việc dán sai, để hở khe giữa sứ và răng thật có thể khiến thức ăn đọng lại, tạo mùi. Do đó, cần chọn nha khoa uy tín và giữ vệ sinh răng miệng hàng ngày đúng cách.
Kết luận
Dán sứ Veneer mang đến nụ cười rạng rỡ, khắc phục nhanh chóng các khuyết điểm răng miệng. Tuy nhiên, nếu thực hiện sai kỹ thuật hoặc sử dụng vật liệu kém chất lượng, tác hại của dán sứ Veneer có thể gây ảnh hưởng nghiêm trọng đến răng thật và sức khỏe răng miệng. Để đảm bảo an toàn và hiệu quả thẩm mỹ lâu dài, hãy lựa chọn Nha khoa Việt Mỹ – địa chỉ uy tín với đội ngũ bác sĩ chuyên môn cao, quy trình chuẩn y khoa và vật liệu sứ cao cấp. Liên hệ ngay 1900 636 734 để được tư vấn miễn phí.

Bác sĩ Nguyễn Văn Thuyền tốt nghiệp từ trường Đại học Y Dược Thành phố Hồ Chí Minh, một trong những cái nôi đào tạo y khoa hàng đầu cả nước. Với nền tảng kiến thức vững chắc và sự đam mê với nghề, bác sĩ Thuyền chịu trách nhiệm kiểm duyệt và đảm bảo những thông tin trên website chính xác.










