Tình trạng bọc răng sứ bị hỏng là gì?
Bọc răng sứ là một phương pháp thẩm mỹ nha khoa phổ biến giúp phục hồi hình dáng, màu sắc và chức năng của răng. Tuy nhiên, sau một thời gian sử dụng, nhiều người gặp phải tình trạng bọc răng sứ bị hỏng, gây mất thẩm mỹ và ảnh hưởng đến sức khỏe răng miệng.
Hiểu một cách đơn giản, bọc răng sứ bị hỏng là khi mão sứ (lớp răng nhân tạo bọc bên ngoài răng thật) không còn đảm bảo được độ khít, độ bền và tính thẩm mỹ như ban đầu. Mức độ hư hỏng có thể chia thành hai nhóm: hỏng nhẹ và hỏng nặng với các biểu hiện khác nhau.

Hỏng nhẹ
Tình trạng hỏng nhẹ không gây ảnh hưởng nghiêm trọng đến cấu trúc răng hay sức khỏe răng miệng nhưng nếu không xử lý sớm có thể dẫn đến các vấn đề phức tạp hơn:
- Răng sứ bị mẻ nhẹ: Có thể do va chạm khi ăn nhai đồ cứng hoặc do lực tác động mạnh.
- Răng sứ bị xỉn màu, ố vàng: Thường gặp ở những người sử dụng sứ lâu năm hoặc không vệ sinh đúng cách, khiến bề mặt sứ bị bám màu.
- Hở nướu nhẹ: Khi mão sứ không còn ôm sát viền nướu, tạo khe hở nhỏ khiến thức ăn dễ mắc vào gây mất thẩm mỹ.
Hỏng nặng
Tình trạng hỏng nặng không chỉ ảnh hưởng đến tính thẩm mỹ mà còn có thể gây ra các biến chứng răng miệng nghiêm trọng nếu không được can thiệp kịp thời.
- Răng sứ nứt, vỡ: Do lực nhai quá mạnh hoặc vật liệu sứ kém chất lượng, mão sứ bị nứt khiến răng thật bên trong lộ ra.
- Viêm lợi, tụt nướu: Khi viền sứ không khít hoặc vệ sinh kém, vi khuẩn tích tụ gây viêm lợi, sưng đỏ, chảy máu và tụt nướu.
- Đau nhức kéo dài: Là dấu hiệu răng thật bên trong bị tổn thương, viêm tủy hoặc viêm quanh chóp do mão sứ không còn bảo vệ tốt.
Tình trạng bọc răng sứ bị hỏng dù nhẹ hay nặng đều cần được kiểm tra sớm tại cơ sở nha khoa uy tín để bác sĩ đánh giá nguyên nhân, mức độ tổn hại và đưa ra hướng khắc phục phù hợp. Việc trì hoãn điều trị có thể khiến răng thật bên trong bị yếu đi, dẫn đến phải thay toàn bộ mão sứ hoặc thậm chí mất răng.
Bọc răng sứ bị hỏng do đâu?
Tình trạng bọc răng sứ bị hỏng có thể xuất phát từ nhiều nguyên nhân khác nhau bao gồm yếu tố kỹ thuật, chất lượng vật liệu, cách chăm sóc răng miệng và cả cơ địa của mỗi người. Việc hiểu rõ nguyên nhân giúp bạn có hướng khắc phục và phòng tránh hiệu quả.

Do kỹ thuật nha khoa kém
Kỹ thuật thực hiện là yếu tố then chốt quyết định độ bền và tính thẩm mỹ của mão sứ. Khi thao tác của bác sĩ hoặc labo thiếu chính xác, rủi ro bọc răng sứ bị hỏng tăng cao. Những lỗi kỹ thuật thường gặp:
- Mài răng quá mức làm yếu cùi răng thật, tăng nguy cơ tổn thương tủy.
- Lấy dấu sai hoặc mẫu labo không chính xác dẫn đến mão sứ không hít, hở viền nướu.
- Chế tác mão sứ kém làm không chuẩn khớp cắn, độ dày và độ ôm không phù hợp.
- Dán bonding/xi măng sai kỹ thuật hoặc sử dụng vật liệu cố định kém chất lượng, gây bong tróc sớm.
- Bỏ sót điều trị nền như chưa điều trị viêm tủy, sâu răng trước khi bọc sứ.
Do chất lượng răng sứ không đảm bảo
Vật liệu và quy trình chế tác quyết định tuổi thọ mão sứ. Răng sứ chất lượng kém hoặc không phù hợp với từng vị trí răng sẽ tăng nguy cơ hư hỏng:
- Nguyên liệu rẻ, không rõ nguồn gốc dễ nứt mẻ, đổi màu nhanh.
- Khung kim loại kém chất lượng (với răng sứ kim loại) có thể oxy hóa, gây viền đen ở cổ răng.
- Labo chế tác thiếu công nghệ, tay nghề thấp khiến sai tỷ lệ, sai khớp cắn, bề mặt sứ không nhẵn mịn, giữ màu kém.
- Không có bảo hành hoặc chứng nhận từ nhà sản xuất.
Do chăm sóc răng miệng chưa đúng cách
Dù mão sứ có tốt đến đâu, thói quen hàng ngày quyết định rất nhiều đến tuổi thọ của răng sứ. Các thói quen sau thường gây hư hỏng:
- Nhai, cắn đồ cứng (kẹo cứng, đá, xương) làm răng sứ mẻ, nứt.
- Vệ sinh kém: Không dùng chỉ nha khoa, không làm sạch kẽ răng khiến mảng bám tích tụ quanh viền sứ, gây viêm lợi.
- Hút thuốc, uống cà phê, rượu vang thường xuyên làm ố bề mặt sứ.
- Không tái khám định kỳ để kiểm tra độ khít và tình trạng mão sứ.
- Nghiên răng (bruxism) nếu không xử lý sẽ làm sứ nứt hoặc mòn nhanh.
Nguyên nhân sinh lý – cơ địa
Một số yếu tố thuộc cơ địa hoặc tình trạng sức khỏe răng miệng cũng làm tăng nguy cơ răng sứ bị hỏng:
- Nghiến răng khi ngủ hoặc co cắn mạnh vô thức lực quá lớn gây nứt, mẻ sứ.
- Nướu mỏng, tụt nướu bẩm sinh làm lộ viền cổ răng, dễ gây hở nướu sau khi bọc sứ.
- Bệnh lý răng miệng nền (viêm nha chu, sâu răng, viêm tủy) nếu không điều trị triệt để trước khi làm mão sứ sẽ dẫn đến hỏng sớm.
- Yếu tố tuổi tác, thay đổi hormone có thể ảnh hưởng đến mô nướu, xương ổ răng, khiến mão sứ không còn khít như ban đầu.
Dấu hiệu nhận biết bọc răng sứ bị hỏng
Sau một thời gian sử dụng, nếu bạn nhận thấy những thay đổi bất thường ở răng sứ thì rất có thể đó là dấu hiệu cho thấy bọc răng sứ bị hỏng. Việc nhận biết sớm giúp bạn kịp thời đến nha khoa để kiểm tra và khắc phục, tránh ảnh hưởng đến sức khỏe răng miệng cũng như thẩm mỹ nụ cười.

Răng sứ bị nứt, mẻ, xỉn màu
Một trong những dấu hiệu dễ nhận thấy nhất của răng sứ bị hỏng là bề mặt răng xuất hiện các vết nứt nhỏ, mẻ cạnh hoặc ngả màu so với ban đầu. Nguyên nhân thường do va chạm mạnh, thói quen ăn nhai đồ cứng, hoặc răng sứ kém chất lượng. Tình trạng này không chỉ làm giảm tính thẩm mỹ mà còn tạo điều kiện cho vi khuẩn xâm nhập, gây hại cho răng thật bên trong.
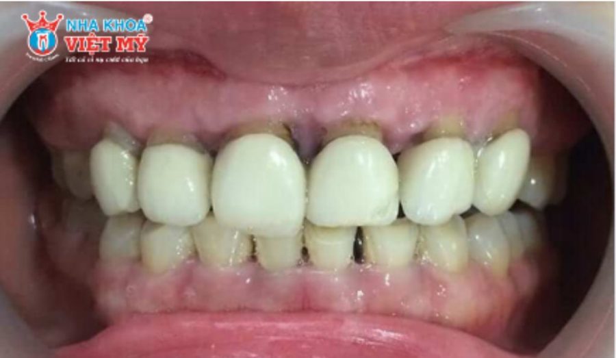
Răng sứ bị tụt lợi, hở nướu, viền đen quanh răng
Khi răng sứ bị tụt lợi hoặc xuất hiện viền đen quanh cổ răng, đó là dấu hiệu cho thấy răng sứ và nướu không còn khít sát như ban đầu. Tình trạng này thường xảy ra do kỹ thuật bọc sứ không chuẩn hoặc do viêm nướu kéo dài. Không chỉ gây mất thẩm mỹ, hở nướu còn khiến thức ăn dễ mắc lại, gây hôi miệng và viêm lợi.
Đau nhức, ê buốt kéo dài khi nhai
Nguyên nhân gây ra tình trạng đau nhức kéo dài là do răng sứ gắn lệch, chụp không khít hoặc phần răng thật bên trong bị tổn thương, viêm tủy. Việc kéo dài tình trạng này có thể khiến răng yếu dần, ảnh hưởng đến cả hệ thống nhai và sức khỏe toàn hàm.
Hơi thở có mùi, dễ mắc thức ăn
Hơi thở có mùi hôi hoặc cảm giác dễ mắc thức ăn giữa các kẽ răng sứ là biểu hiện của việc răng sứ bị hở, bám cặn hoặc hỏng keo dán cố định. Các khe hở này là nơi lý tưởng để vi khuẩn phát triển, tạo mùi hôi và gây viêm nướu. Nếu không xử lý kịp thời, hơi thở sẽ ngày càng nặng mùi, đồng thời răng thật bên trong dễ bị sâu hoặc viêm nhiễm.
Lệch khớp cắn, cản trở khi ăn nhai
Một dấu hiệu khác cho thấy bọc răng sứ bị hỏng là cảm giác cấn, lệch khớp cắn hoặc khó khăn khi nhai thức ăn. Khi khớp cắn không chuẩn, lực nhai bị phân bổ sai, lâu dài có thể khiến răng sứ nứt vỡ hoặc gây mỏi cơ hàm. Đây là tình trạng thường gặp khi răng sứ được gắn sai vị trí hoặc bị mòn sau thời gian sử dụng.
Bọc răng sứ bị hỏng có nguy hiểm không? Khi nào cần đi khám bác sĩ?
Răng sứ bị hỏng không chỉ ảnh hưởng đến thẩm mỹ mà còn tiềm ẩn nhiều nguy cơ gây hại cho sức khỏe răng miệng. Khi lớp sứ bị nứt, hở nướu hoặc lỏng lẻo, vi khuẩn dễ dàng xâm nhập vào bên trong, gây viêm nướu, sâu răng, thậm chí viêm tủy. Tình trạng này kéo dài lâu dần khiến răng thật bên trong có thể yếu đi, làm giảm khả năng ăn nhai và gây đau nhức kéo dài.

Ngoài ra, nếu răng sứ bị lệch khớp cắn, lực nhai sẽ không được phân bổ đồng đều, dẫn đến mỏi cơ hàm, đau khớp thái dương hoặc tổn thương răng đối diện. Một số trường hợp nặng, răng thật có thể bị lung lay hoặc buộc phải nhổ bỏ. Do đó, bạn nên đi khám bác sĩ sớm để không gây ảnh hưởng nghiêm trọng đến toàn bộ cấu trúc răng miệng.
Bọc răng sứ bị hỏng có làm lại được không?
Khi bọc răng sứ bị hỏng, hầu hết các trường hợp đều có thể khắc phục bằng cách thay mão răng sứ mới. Tuy nhiên, việc “sửa chữa” trực tiếp trên mão sứ đã nứt, mẻ hoặc bong tróc thường không mang lại hiệu quả lâu dài. Vật liệu sứ sau khi bị hư hại rất khó phục hồi độ bền và thẩm mỹ ban đầu, nên thay mới là giải pháp an toàn và triệt để nhất.

Trong một số số tình huống đặc biệt, nếu mão răng sứ bị rơi ra nhưng vẫn còn nguyên vẹn, bác sĩ có thể làm sạch, xử lý bề mặt và gắn lại bằng vật liệu dán chuyên dụng. Tuy nhiên, điều này chỉ khả thi khi răng thật và mão sứ chưa bị tổn thương và cần thực hiện ngay sau khi phát hiện sự cố để tránh vi khuẩn xâm nhập.
Khi răng sứ đã bị nứt vỡ, hở nướu hoặc gây viêm lợi thì việc thay răng sứ mới tại nha khoa uy tín là lựa chọn cần thiết. Quá trình này giúp mão sứ mới ôm khít với răng thật, đảm bảo độ bền, tính thẩm mỹ và cảm giác ăn nhai tự nhiên.
Nếu phần răng thật bên trong bị tổn thương nặng (viêm tủy, sâu răng hoặc mất mô răng), bác sĩ sẽ đánh giá kỹ trước khi quyết định tiếp tục bọc răng sứ hay chuyển sang các phương án phục hình khác như cấy ghép Implant hoặc làm cầu răng sứ. Việc lựa chọn đúng phương pháp không chỉ giúp phục hồi chức năng ăn nhai mà còn duy trì sức khỏe răng miệng bền vững lâu dài.
Chi phí khắc phục răng sứ bị hỏng
Chi phí khắc phục bọc răng sứ bị hỏng phụ thuộc vào tình trạng hư hại và loại răng sứ được sử dụng để thay mới. Tại Nha khoa Việt Mỹ, giá làm răng sứ hiện nay dao động từ khoảng 1.040.000 – 9.520.000 VNĐ/răng, tùy theo chất liệu, công nghệ chế tác và thời gian bảo hành.
| DỊCH VỤ | GIÁ | BẢO HÀNH |
| Ceramco (Mỹ) | 1.040.000 VNĐ | 3 năm |
| Titanium (Mỹ) | 1.848.000 VNĐ | 5 năm |
| Ceramic Razor (Hàn Quốc) | 2.480.000 VNĐ | 8 năm |
| Ceramic DDBIO (Đức) | 2.900.000 VNĐ | 10 năm |
| Ceramic Full Contour Razor (Hàn Quốc) | 3.352.000 VNĐ | 10 năm |
| Ceramic Full Contour DDBIO (Đức) | 4.880.000 VNĐ | 10 năm |
| Ceramic Vita (Đức) | 4.900.000 VNĐ | 15 năm |
| Ceramic Cercon HT (Đức) | 6.500.000 VNĐ | 20 năm |
| Ceramic Veneer (Đức) | 8.800.000 VNĐ | 10 năm |
| Lava Plus 3M ESPE (Mỹ) | 9.520.000 VNĐ | 20 năm |
Mức giá này đã bao gồm chi phí mão sứ và công lắp đặt, tuy nhiên các dịch vụ bổ trợ như điều trị tủy, chỉnh khớp cắn hoặc vệ sinh chuyên sâu sẽ được tính riêng tùy theo tình trạng răng thật.
Việc lựa chọn nha khoa uy tín và bác sĩ có tay nghề cao sẽ giúp quá trình thay răng sứ diễn ra an toàn, đảm bảo độ khít sát, bền chắc và duy trì tính thẩm mỹ lâu dài. Với các dòng sứ cao cấp nhập khẩu từ Đức hoặc Mỹ, người dùng hoàn toàn có thể yên tâm về độ bền lên tới 15–20 năm, cùng chế độ bảo hành rõ ràng.
Cách phòng tránh bọc răng sứ bị hỏng
Để tránh tình trạng bọc răng sứ bị hỏng, bạn cần quan tâm đến cả giai đoạn thực hiện và quá trình chăm sóc sau khi hoàn tất. Một số lưu ý dưới đây sẽ giúp răng sứ luôn bền đẹp và duy trì chức năng nhai ổn định trong thời gian dài.

Lựa chọn nha khoa uy tín, bác sĩ nhiều kinh nghiệm
Yếu tố đầu tiên quyết định độ bền của răng sứ là tay nghề bác sĩ và quy trình thực hiện. Một nha khoa uy tín có đội ngũ bác sĩ giàu kinh nghiệm, trang thiết bị hiện đại và quy trình vô trùng nghiêm ngặt sẽ đảm bảo mão sứ được gắn đúng khớp, ôm sát răng thật, hạn chế tối đa nguy cơ hở nướu, viêm lợi hay lệch khớp cắn.
Trước khi bọc răng, bạn nên tìm hiểu kỹ đánh giá của khách hàng, giấy phép hoạt động và công nghệ chế tác răng sứ mà nha khoa đang sử dụng. Đây là cách tốt nhất để đảm bảo quá trình bọc răng an toàn, không xảy ra lỗi kỹ thuật gây hỏng về sau.
Chọn loại răng sứ chính hãng, phù hợp nhu cầu
Loại răng sứ ảnh hưởng trực tiếp đến độ bền, màu sắc và khả năng tương thích sinh học. Những dòng sứ chính hãng đến từ Đức, Mỹ hoặc Hàn Quốc như Ceramic DDBIO, Cercon HT hay Lava Plus 3M ESPE được đánh giá cao nhờ tuổi thọ từ 10 – 20 năm, màu sắc tự nhiên và không gây kích ứng nướu.
Việc chọn loại sứ phù hợp với nhu cầu thẩm mỹ, ngân sách và tình trạng răng thật sẽ giúp hạn chế tối đa tình trạng răng sứ bị nứt, xỉn màu hoặc tụt nướu sau một thời gian sử dụng.
Tuân thủ chăm sóc răng miệng đúng cách
Sau khi bọc răng sứ, việc chăm sóc răng miệng đúng cách là yếu tố quan trọng giúp kéo dài tuổi thọ mão sứ. Bạn nên:
- Đánh răng nhẹ nhàng bằng bàn chải lông mềm, ít nhất 2 lần/ngày.
- Dùng chỉ nha khoa và nước súc miệng để làm sạch kẽ răng, tránh mảng bám tích tụ gây viêm lợi.
- Hạn chế cắn đồ quá cứng hoặc nhai thực phẩm quá nóng hoặc lạnh đột ngột vì dễ làm răng sứ nứt hoặc bong keo dán.
- Không hút thuốc lá hay dùng nhiều cà phê, trà đậm để tránh răng sứ bị xỉn màu.
Tái khám định kỳ để kiểm tra mão sứ
Tái khám định kỳ 6 tháng/lần là thói quen giúp phát hiện sớm các dấu hiệu bọc răng sứ bị hỏng như hở nướu, lệch khớp cắn hay viêm lợi quanh mão sứ. Bác sĩ sẽ kiểm tra độ khít của răng sứ, làm sạch chuyên sâu và hướng dẫn cách chăm sóc phù hợp.
Khi nhận thấy dấu hiệu bọc răng sứ bị hỏng, bạn không nên chủ quan hay tự lý xử lý tại nhà, vì có thể khiến tình trạng răng miệng trở nên nghiêm trọng hơn. Hãy đến ngay Nha khoa Việt Mỹ để được bác sĩ thăm khám và tư vấn giải pháp khắc phục an toàn, hiệu quả nhất. Liên hệ hotline 1900 636 734 để đặt lịch và bảo vệ nụ cười khỏe đẹp của bạn ngay hôm nay!

Bác sĩ Nguyễn Văn Thuyền tốt nghiệp từ trường Đại học Y Dược Thành phố Hồ Chí Minh, một trong những cái nôi đào tạo y khoa hàng đầu cả nước. Với nền tảng kiến thức vững chắc và sự đam mê với nghề, bác sĩ Thuyền chịu trách nhiệm kiểm duyệt và đảm bảo những thông tin trên website chính xác.











cho dòng răng toàn sứ
1900 636 734
cskh@nhakhoavietmy.com.vn
Ưu đãi đến 35% dòng răng toàn sứ
1900 636 734
cskh@nhakhoavietmy.com.vn
Bài viết liên quan:
20 tuổi niềng răng bao nhiêu tiền? Chi phí & phương pháp phù hợp
Niềng răng trong suốt có đau không? Sự thật bạn nên biết
Niềng răng không mắc cài là gì? Có hiệu quả không & giá bao nhiêu?