1. Các bệnh răng miệng nguy hiểm thường gặp
Có rất nhiều bệnh lý răng miệng khác nhau, trong đó không ít bệnh tiềm ẩn biến chứng nghiêm trọng nếu không được phát hiện và điều trị kịp thời. Dưới đây là các bệnh về răng miệng nguy hiểm thường gặp mà bạn cần nhận biết sớm.
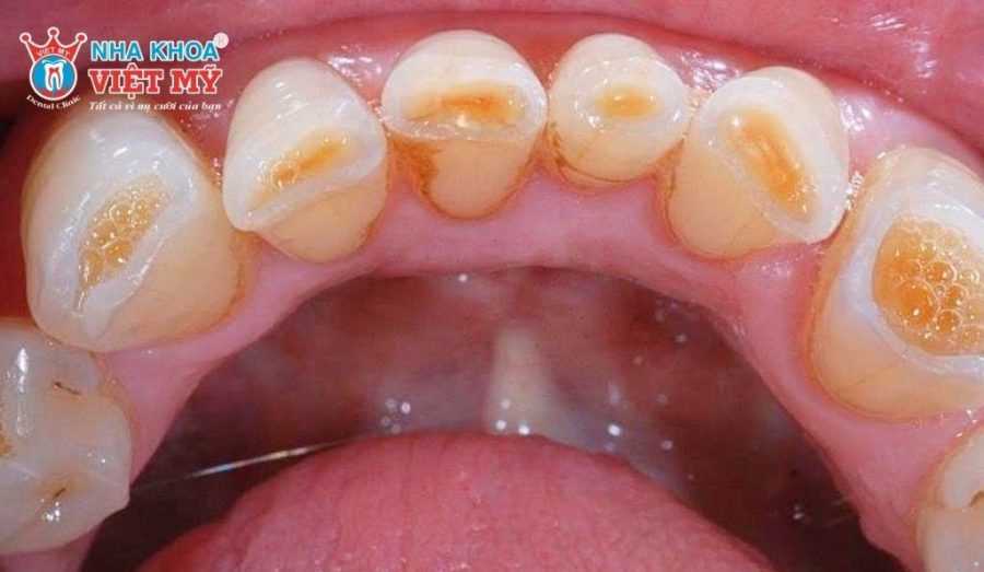
1.1. Sâu răng nặng – Nguy cơ viêm tủy, mất răng
Sâu răng là bệnh lý phổ biến nhất xảy ra khi vi khuẩn trong mảng bám tạo axit phá hủy men và ngà răng. Ở giai đoạn nhẹ, sâu răng thường không gây đau. Tuy nhiên khi lỗ sâu lan rộng, vi khuẩn có thể xâm nhập vào tủy, gây viêm tủy, đau nhức dữ dội và thậm chí dẫn đến mất răng nếu không điều trị kịp thời.
Tùy vào mức độ sâu, bác sĩ có thể chỉ định trám răng, bôi fluor, điều trị tủy hoặc bọc mão sứ để bảo tồn răng thật. Cần đi khám ngay khi xuất hiện tình trạng đau tự phát về đêm, ê buốt kéo dài trên 48 giờ hoặc sưng nướu quanh răng.
1.2. Viêm lợi, viêm nha chu – Gây tiêu xương răng
Viêm lợi khởi phát với biểu hiện nướu sưng đỏ, dễ chảy máu. Nếu không được xử lý bệnh sẽ tiến triển thành viêm nha chu, phá hủy mô nướu và xương ổ răng. Hậu quả là răng lung lay, tiêu xương và mất răng vĩnh viễn. Người trung niên và cao tuổi là nhóm dễ mắc bệnh này nhất.
Phác đồ điều trị tiêu chuẩn: Cạo vôi răng – xử lý gốc răng – hướng dẫn vệ sinh đúng cách – tái khám sau 4–6 tuần. Trường hợp nặng, bác sĩ có thể chỉ định phẫu thuật nha chu để loại bỏ túi viêm và tái tạo mô quanh răng.
1.3. Viêm tủy răng và hoại tử tủy
Nguyên nhân chủ yếu là sâu răng không được điều trị sớm. Khi vi khuẩn xâm nhập vào buồng tủy, người bệnh sẽ cảm thấy đau nhức dữ dội. Nếu để lâu, tủy răng bị hoại tử, hình thành áp xe, gây nhiễm trùng lan rộng và phá hủy xương hàm.
Một vài dấu hiệu biểu hiện như đau nhói khi nhai, đau về đêm, sưng má hoặc sốt. Bác sĩ sẽ tiến hành lấy tủy, làm sạch ống tủy và trám bít kín để bảo tồn răng, ngăn ngừa áp xe và biến chứng mất răng.
1.4. Răng nhạy cảm, mòn men răng
Một trong các bệnh răng miệng nguy hiểm khác chính là mòn men răng do axit, chải răng sai cách hoặc nghiến răng khiến răng trở nên nhạy cảm, ê buốt khi ăn đồ nóng, lạnh, chua hoặc ngọt. Đây là dấu hiệu cảnh báo men răng đã suy yếu, cần được can thiệp sớm để tránh tổn thương sâu hơn.

1.5. Hôi miệng kéo dài – Dấu hiệu bệnh lý tiềm ẩn
Khoảng 85% trường hợp hôi miệng bắt nguồn từ các bệnh răng miệng như sâu răng, viêm lợi, viêm nha chu hoặc khô miệng. Hôi miệng không chỉ gây mất tự tin mà còn là dấu hiệu cảnh báo tình trạng nhiễm khuẩn trong khoang miệng, cần được thăm khám để tìm nguyên nhân chính xác.
1.6. Biến chứng răng khôn mọc lệch, mọc ngầm
Răng khôn thường mọc muộn ở vị trí khó vệ sinh, dễ gây viêm lợi, sâu răng số 7 kế cận hoặc hình thành u nang xương hàm. Trường hợp răng khôn mọc lệch, mọc ngầm thường được bác sĩ chỉ định nhổ bỏ để phòng ngừa biến chứng nguy hiểm.
1.7. Mất răng vĩnh viễn
Mất răng có thể do viêm nha chu, sâu răng nặng, chấn thương hoặc tuổi tác. Không chỉ ảnh hưởng đến thẩm mỹ và khả năng ăn nhai, mất răng còn gây tiêu xương hàm, xô lệch răng còn lại và rối loạn khớp thái dương hàm. Giải pháp hiện đại như trồng răng Implant giúp phục hồi chức năng và thẩm mỹ tối ưu.
1.8. Ung thư khoang miệng – Bệnh răng miệng nguy hiểm nhất
Ung thư khoang miệng thường gặp ở người trên 40 tuổi, đặc biệt là người hút thuốc, uống rượu bia hoặc nhiễm virus HPV. Bệnh có thể gây tử vong nếu phát hiện muộn nhưng tỷ lệ chữa khỏi cao khi được chẩn đoán sớm. Các dấu hiệu cảnh báo gồm loét miệng lâu lành, đau nhức kéo dài, khó nhai nuốt, xuất hiện hạch ở cổ.
Nếu gặp các tình trạng trên hãy đến khám ngay tại chuyên khoa Răng Hàm Mặt hoặc Tai Mũi Họng để tầm soát sớm.

2. Nguyên nhân dẫn đến các bệnh răng miệng nguy hiểm
Để hiểu rõ vì sao các bệnh về răng miệng nguy hiểm lại xuất hiện và tiến triển nhanh, chúng ta cần xem xét những “thủ phạm” âm thầm gây hại đến sức khỏe răng miệng.
2.1. Vệ sinh răng miệng kém
Chăm sóc răng miệng chưa đúng cách là nguyên nhân hàng đầu dẫn đến các bệnh lý nha khoa. Nhiều người thường bỏ qua việc chải răng đầy đủ, không dùng chỉ nha khoa hoặc tăm nước để loại bỏ mảng bám cũng như không súc miệng để làm sạch vi khuẩn. Ngoài ra, thói quen chỉ đi khám nha khoa khi có dấu hiệu đau nhức, sưng nướu cũng là nguyên nhân khiến vi khuẩn có cơ hội phát triển mạnh, gây ra viêm lợi, viêm nha chu hay hôi miệng.
2.2. Chế độ ăn uống thiếu khoa học
Thường xuyên tiêu thụ thực phẩm nhiều đường, đồ cay nóng hoặc trái cây có tính axit cao như cam, chanh,… sẽ làm giảm độ pH trong khoang miệng. Đây là môi trường thuận lợi để vi khuẩn sinh sôi, tấn công men răng và gây ra các bệnh lý như sâu răng, răng nhạy cảm hay mòn men răng.
2.3. Hút thuốc lá, rượu bia thường xuyên
Thuốc lá và rượu bia không chỉ làm răng ố vàng, hơi thở có mùi mà còn khiến nướu yếu đi, dễ viêm nhiễm. Các chất độc hại trong khói thuốc và cồn làm giảm khả năng tự bảo vệ của khoang miệng từ đó tăng nguy cơ mắc viêm nha chu, mất răng và thậm chí ung thư khoang miệng.
2.4. Nội tiết tố và suy giảm miễn dịch
Sự thay đổi nội tiết tố ở phụ nữ trong giai đoạn mang thai, kinh nguyệt hoặc mãn kinh có thể khiến nướu nhạy cảm, dễ chảy máu và viêm nhiễm. Bên cạnh đó, những người có hệ miễn dịch suy yếu chẳng hạn bệnh nhân tiểu đường cũng dễ mắc các bệnh răng miệng nguy hiểm hơn do khả năng chống lại vi khuẩn kém.
2.5. Yếu tố di truyền và bệnh lý toàn thân
Một số bệnh lý răng miệng có liên quan đến yếu tố di truyền hoặc các bệnh toàn thân như thiếu canxi, loãng xương, tiểu đường, tim mạch. Những tình trạng này làm răng và nướu yếu đi, dễ bị vi khuẩn tấn công và khó hồi phục khi tổn thương.

3. Các dấu hiệu cảnh báo bệnh răng miệng nguy hiểm – Khi nào cần đi khám nha sĩ ngay?
Những biểu hiện dưới đây chính là lời cảnh báo sớm cho thấy răng miệng của bạn đang gặp vấn đề nghiêm trọng và cần được thăm khám kịp thời.
3.1. Chảy máu chân răng thường xuyên
Nướu dễ chảy máu khi chải răng hoặc ăn nhai là dấu hiệu điển hình của viêm lợi. Nếu tình trạng này kéo dài mà không được điều trị, bệnh có thể tiến triển thành viêm nha chu, gây tổn thương mô nướu và xương ổ răng.
3.2. Răng lung lay, ê buốt kéo dài
Răng trở nên lỏng lẻo thường do viêm nha chu làm tiêu xương và suy yếu mô nâng đỡ. Bên cạnh đó, cảm giác ê buốt kéo dài có thể xuất phát từ men răng bị mòn, sâu răng hoặc lộ chân răng. Đây là những dấu hiệu cảnh báo răng đang trong tình trạng tổn thương nghiêm trọng.
3.3. Hơi thở hôi khó kiểm soát
Hôi miệng kéo dài không chỉ gây mất tự tin mà còn phản ánh tình trạng viêm nhiễm trong khoang miệng. Nguyên nhân thường gặp là sâu răng, viêm lợi, viêm nha chu hoặc vệ sinh răng miệng chưa đúng cách khiến vi khuẩn tích tụ và phát triển mạnh.
3.4. Đau nhức khi ăn nhai
Cảm giác đau nhói hoặc khó chịu khi nhai thức ăn có thể liên quan đến sâu răng, viêm tủy hoặc áp xe quanh răng. Nếu không được điều trị kịp thời, tình trạng này có thể lan rộng, gây ảnh hưởng đến các răng kế cận và sức khỏe toàn thân.
3.5. Xuất hiện vết loét, mảng trắng bất thường trong miệng
Những vết loét kéo dài, khó lành hoặc mảng trắng bám chặt trên răng, niêm mạc miệng có thể là dấu hiệu cảnh báo sớm của các bệnh lý răng miệng. thậm chí ung thư khoang miệng. Đây là triệu chứng tuyệt đối không nên chủ quan và cần thăm khám nha khoa ngay.

5. Cách phòng ngừa các bệnh răng miệng nguy hiểm
Để giữ răng chắc khỏe và ngăn ngừa các bệnh răng miệng gây nguy hiểm, bạn cần duy trì những thói quen chăm sóc đơn giản nhưng hiệu quả sau.
5.1. Vệ sinh răng miệng đúng cách mỗi ngày
Vệ sinh răng miệng là nền tảng quan trọng nhất để phòng ngừa các bệnh lý nha khoa. Bạn nên đánh răng ít nhất 2 lần mỗi ngày – vào buổi sáng sau khi ngủ dậy và buổi tối trước khi đi ngủ.
Thực hiện đúng theo các hướng dẫn sau:
- Áp dụng kỹ thuật Bass với thời gian chải khoảng 2 phút/lần, đảm bảo làm sạch mảng bám ở rìa nướu và kẽ răng.
- Sử dụng kem đánh răng chứa fluor nồng độ 1.000–1.450 ppm để giúp tái khoáng men răng và ngăn ngừa sâu răng.
- Dùng chỉ nha khoa hoặc tăm nước mỗi ngày để loại bỏ thức ăn và mảng bám ở kẽ răng – nơi bàn chải không thể tiếp cận.
- Chải lưỡi hằng ngày nhằm loại bỏ vi khuẩn gây mùi, giúp hơi thở thơm tho hơn.
- Thay bàn chải định kỳ 2–3 tháng/lần hoặc sớm hơn nếu lông bàn chải bị xơ, cong vẹo để đảm bảo hiệu quả làm sạch tối ưu.
5.2. Chế độ ăn uống khoa học, hạn chế đường và thuốc lá
Chế độ dinh dưỡng có ảnh hưởng trực tiếp đến sức khỏe răng miệng. Việc tiêu thụ quá nhiều đường, tinh bột, đồ uống có gas hoặc thực phẩm quá nóng, quá lạnh sẽ làm tăng nguy cơ sâu răng, mòn men và ê buốt.
Thay vào đó, bạn nên bổ sung nhiều rau xanh, trái cây giàu chất xơ để kích thích tiết nước bọt, giúp trung hòa axit trong khoang miệng. Đồng thời, cần tuyệt đối tránh thuốc lá và rượu bia – những tác nhân hàng đầu gây viêm nướu, hôi miệng, làm răng ố vàng và tăng nguy cơ ung thư khoang miệng.
5.3. Khám răng định kỳ 6 tháng/lần
Khám nha khoa định kỳ là thói quen quan trọng giúp bảo vệ sức khỏe răng miệng lâu dài. Việc thăm khám 6 tháng/lần giúp bác sĩ phát hiện sớm các bệnh lý tiềm ẩn. Nhờ đó, bạn có thể được điều trị kịp thời trước khi bệnh tiến triển nặng, tránh biến chứng nguy hiểm và tiết kiệm chi phí điều trị về sau.
5.4. Tẩy cao răng và lấy vôi răng thường xuyên
Cao răng và vôi răng là môi trường lý tưởng cho vi khuẩn phát triển. Ngay cả khi bạn vệ sinh răng miệng kỹ lưỡng, cao răng vẫn có thể hình thành và bám chặt vào bề mặt răng. Do đó, việc lấy cao răng định kỳ không chỉ giúp răng sạch sẽ, sáng bóng mà còn ngăn ngừa hiệu quả các bệnh lý răng miệng nguy hiểm, đồng thời duy trì nụ cười thẩm mỹ.
5.5. Điều trị dứt điểm bệnh lý răng miệng từ giai đoạn sớm
Khi nhận thấy các dấu hiệu bất thường, bạn cần đến nha khoa ngay để được thăm khám. Việc điều trị sớm giúp bảo tồn răng thật, ngăn ngừa viêm nhiễm lan rộng và hạn chế tối đa biến chứng nguy hiểm.
Chủ động xử lý từ giai đoạn đầu sẽ giúp bạn tiết kiệm thời gian, chi phí và duy trì sức khỏe răng miệng bền vững.

6. Dịch vụ thăm khám và điều trị các bệnh răng miệng hiệu quả tại Nha khoa Việt Mỹ
Với sứ mệnh mang đến nụ cười khỏe mạnh và tự tin cho cộng đồng, Nha khoa Việt Mỹ không ngừng nâng cao chất lượng dịch vụ, đáp ứng toàn diện nhu cầu chăm sóc răng miệng từ cơ bản đến chuyên sâu. Tại đây, khách hàng được trải nghiệm quy trình thăm khám và điều trị đạt chuẩn Bộ Y Tế, thực hiện bởi đội ngũ bác sĩ giàu kinh nghiệm, tận tâm và được đào tạo bài bản.
Hệ thống dịch vụ đa dạng, chuyên nghiệp
Nha khoa Việt Mỹ cung cấp đầy đủ các nhóm dịch vụ:
- Nha khoa tổng quát: Nhổ răng, trám răng, điều trị tủy, cạo vôi răng, tẩy trắng răng, cắt nướu.
- Nha khoa phục hồi: Cấy ghép Implant, răng tháo lắp, bắc cầu răng sứ.
- Nha khoa thẩm mỹ: Răng sứ thẩm mỹ, dán sứ Veneer.
- Chỉnh nha – Niềng răng: Niềng răng mắc cài kim loại, mắc cài sứ, khay trong suốt Invisalign và Zenyum.
Mỗi dịch vụ đều được thực hiện theo quy trình vô trùng nghiêm ngặt, đảm bảo an toàn tuyệt đối cho khách hàng.

Công nghệ điều trị tiên tiến chuẩn 4.0
Tiên phong ứng dụng công nghệ hiện đại, Nha khoa Việt Mỹ sở hữu hệ thống thiết bị tối tân như:
- Máy chụp CT Cone Beam 3D giúp lập kế hoạch điều trị chính xác.
- Máy quét dấu răng Trios 3 tạo hình ảnh 3D rõ nét.
- Công nghệ thiết kế nụ cười kỹ thuật số Design Smile.
- Máy CAD/CAM chế tác răng sứ tự động.
- Máy Pioon S1, Osstell ISQ và Surgic Pro hỗ trợ điều trị Implant hiệu quả.
- Công nghệ tẩy trắng Laser Whitemax cho kết quả trắng sáng tức thì.
Nhờ hệ thống công nghệ hiện đại, quá trình điều trị tại Nha khoa Việt Mỹ diễn ra nhanh chóng, chính xác và tiết kiệm chi phí.
Đội ngũ bác sĩ tận tâm, chuyên môn cao
Đội ngũ bác sĩ tại Nha khoa Việt Mỹ đều có giấy phép hành nghề, thường xuyên cập nhật kiến thức chuyên môn và luôn đặt lợi ích khách hàng lên hàng đầu. Phong cách làm việc chuyên nghiệp, nhẹ nhàng, thấu hiểu tâm lý giúp khách hàng cảm thấy an tâm và thoải mái trong suốt quá trình điều trị.

Phòng Labo chế tác răng sứ khép kín
Nha khoa Việt Mỹ sở hữu phòng Labo với hơn 50 kỹ thuật viên chuyên nghiệp, ứng dụng công nghệ CAD/CAM hiện đại để chế tác răng sứ chính xác, thẩm mỹ và bền chắc. Vật liệu sứ đều được nhập khẩu chính hãng từ Mỹ, Đức, Thụy Sĩ, Hàn Quốc,… đảm bảo chất lượng tối ưu.

Lợi ích vượt trội khi điều trị tại Nha khoa Việt Mỹ
- Giá thành cạnh tranh, minh bạch.
- Rút ngắn thời gian điều trị.
- Vật liệu cao cấp, nhập khẩu chính hãng.
- Công nghệ hiện đại, đảm bảo độ chính xác và tính thẩm mỹ cao.
- Chính sách bảo hành rõ ràng, dài hạn tùy theo dịch vụ.
Nha khoa Việt Mỹ cam kết mang đến cho khách hàng trải nghiệm thăm khám chuyên nghiệp, kết quả điều trị hiệu quả và nụ cười rạng rỡ dài lâu.
Các bệnh răng miệng nguy hiểm có thể âm thầm phát triển và gây ra nhiều biến chứng khó lường nếu không được quan tâm đúng mức. Chủ động phòng ngừa và điều trị sớm không chỉ giúp bạn tránh được những cơn đau nhức, mất răng hay viêm nhiễm mà còn giữ cho nụ cười luôn rạng rỡ, tự tin trong giao tiếp. Nếu bạn đang gặp vấn đề về răng miệng hoặc muốn được tư vấn cách chăm sóc, hãy liên hệ với Nha khoa Việt Mỹ qua hotline 1900 636 734 để được các hỗ trợ kịp thời và tận tâm!

Bác sĩ Nguyễn Văn Thuyền tốt nghiệp từ trường Đại học Y Dược Thành phố Hồ Chí Minh, một trong những cái nôi đào tạo y khoa hàng đầu cả nước. Với nền tảng kiến thức vững chắc và sự đam mê với nghề, bác sĩ Thuyền chịu trách nhiệm kiểm duyệt và đảm bảo những thông tin trên website chính xác.










