1. Trám răng rồi có bị sâu lại không?
Trám răng sử dụng một vật liệu nha khoa để bù đắp lại khoảng men, ngà răng bị mất đi hoặc tái tạo lại hình thể của chiếc răng khi bị sâu, sứt mẻ, vỡ và mòn răng. Nhờ vậy, răng vừa được phục hồi chức năng ăn nhai vừa đảm bảo tính thẩm mỹ. Tuy nhiên, răng sau khi trám vẫn có thể bị sâu lại trong một số trường hợp dưới đây:
- Trám răng thực hiện không đúng kỹ thuật.
- Chăm sóc răng miệng chưa đúng cách sau khi trám.
- Chế độ ăn uống không hợp lý làm răng dễ tái sâu.
- Miếng trám bị hở, nứt,… theo thời gian sử dụng.
- Các thói quen xấu ảnh hưởng răng như nghiến răng, cắn vật cứng,…

2. Nguyên nhân trám răng rồi bị sâu lại
Như đã được đề cập, “trám răng rồi có bị sâu lại không?” là hoàn toàn có thể xảy ra do nhiều nguyên nhân khác nhau. Chi tiết như sau:
2.1. Kỹ thuật trám răng chưa đảm bảo
Kỹ thuật trám răng của bác sĩ là nguyên nhân khiến răng có thể bị sâu trở lại sau khi trám. Bác sĩ trám đúng kỹ thuật sẽ loại bỏ ổ sâu triệt để, miếng trám khít sát bề mặt răng, không bị hở sẽ duy trì độ bền lâu dài và ngăn vi khuẩn xâm nhập vào răng. Nhờ vậy, người bệnh sẽ ăn nhai thoải mái, không xảy ra tình trạng ê buốt hay cộm cấn.

Ngược lại, kỹ thuật trám răng chưa đảm bảo có thể để sót vi khuẩn, bề mặt trám sần sùi hoặc bong tróc, hở nhanh. Từ đó, răng sâu sẽ bị tái phát lại và có thể lan sang răng kế cận, gây ê buốt kéo dài, đau nhức. Thậm chí, trong nhiều trường hợp còn dẫn đến sai khớp cắn khi ăn nhai.
2.2. Vệ sinh răng miệng không đúng cách
Khi thức ăn còn sót lại quanh miếng trám hoặc giắt trong kẽ răng, chúng sẽ tích tụ thành mảng bám. Do đó, vi khuẩn sẽ có điều kiện để sinh sôi và tấn công răng. Lâu dần, men răng và bề mặt trám bị mòn, làm tăng nguy cơ tái sâu răng.
Bên cạnh đó, thói quen chải răng quá mạnh hoặc dùng tăm, vật nhọn để lấy thức ăn dễ khiến miếng trám bong ra. Khi lớp trám không còn khít sát, vi khuẩn càng dễ xâm nhập hơn. Lúc này, răng có thể bị ê buốt, đau nhức và nhanh chóng bị sâu trở lại.
2.3. Chế độ ăn uống dễ gây sâu răng
Việc thường xuyên dùng bánh kẹo, nước ngọt, thực phẩm quá chua, quá cứng, quá nóng hoặc quá lạnh sẽ khiến miếng trám dễ bong tróc hay mòn gãy. Khi lớp trám mất đi độ khít, vi khuẩn dễ dàng quay trở lại và làm răng bị sâu lần nữa.

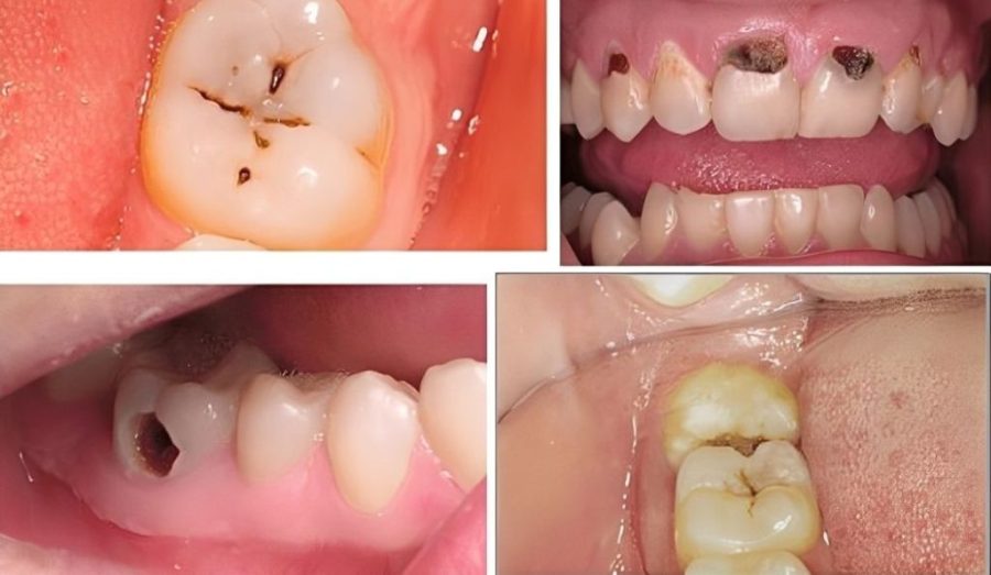
2.4. Miếng trám bị hở, nứt vỡ theo thời gian
Miếng trám răng sau một thời gian dài sử dụng sẽ mòn, yếu dần và dễ nứt vỡ. Nếu miếng trám được làm từ vật liệu kém chất lượng, tình trạng này xảy ra nhanh hơn, ngay cả khi mới trám răng. Khi đó, thức ăn và vi khuẩn dễ dàng len lỏi vào các khe hở, gây sâu răng.
2.5. Thói quen xấu (nghiến răng, ăn đồ quá cứng, đồ ngọt)
Nghiến răng hoặc nhai đồ quá cứng khiến miếng trám liên tục chịu lực mạnh. Sau một thời gian, miếng trám sẽ dễ mòn, nứt hoặc bong tróc. Trong khi đó, ăn đồ ngọt chứa nhiều đường sẽ tạo điều kiện thuận lợi cho vi khuẩn gây sâu răng phát triển, làm yếu đi miếng trám. Do đó, khi miếng trám bị hư hại, răng dễ sâu trở lại.
3. Trám răng bao lâu thì bị sâu lại?
Thực tế, không có mốc thời gian chính xác cho việc “Trám răng bao lâu thì bị sâu lại?” mà còn phụ thuộc vào nhiều yếu tố. Các yếu tố này có thể là chất liệu trám răng, thói quen chăm sóc răng miệng của bạn sau khi trám, kỹ thuật trám của bác sĩ,… Vì vậy, có người giữ được vài năm, hoặc chỉ sau vài tháng răng đã bị sâu trở lại.

4. Trám răng rồi bị sâu phải làm sao?
Nhiều người thường băn khoăn “trám răng rồi có bị sâu lại không?” và khi răng tái sâu, cần phải làm sao? Việc thăm khám sớm giúp bác sĩ nắm rõ tình trạng răng và quyết định cách xử lý hiệu quả nhất. Cụ thể:
4.1. Trám lại răng bằng vật liệu mới
Nếu răng chỉ mới chớm sâu, chưa ảnh hưởng đến tủy, hoặc vết trám chỉ bị hở, bác sĩ sẽ tiến hành trám lại. Lúc này, lớp trám cũ được tháo bỏ, ổ sâu được làm sạch kỹ càng trước khi trám lớp mới. Việc này giúp bảo vệ răng thật, ngăn vi khuẩn xâm nhập và hạn chế sâu răng tái phát.
4.2. Bọc răng sứ để bảo vệ răng tốt hơn
Khi răng trám bị sâu nghiêm trọng, tủy tổn thương hoặc chân răng yếu, bác sĩ sẽ chỉ định bọc răng sứ. Phương pháp này loại bỏ ổ sâu triệt để, bảo tồn răng thật, duy trì chức năng ăn nhai và thẩm mỹ. Lớp sứ cứng chắc, trơn bóng giúp hạn chế vi khuẩn tấn công răng.

4.3. Điều trị tủy (nếu sâu nặng, ảnh hưởng tủy răng)
Khi răng trám bị sâu nặng khiến tủy bị viêm hoặc nhiễm trùng, trám lại đơn thuần sẽ không đủ bảo vệ. Do đó, bác sĩ sẽ tiến hành điều trị tủy trước khi phục hồi răng. Sau khi tủy được điều trị, răng sẽ được trám bít lại hoặc bọc mão sứ để bảo vệ răng và duy trì chức năng ăn nhai. Phương pháp này giúp hạn chế tái phát sâu răng sau khi trám và kéo dài tuổi thọ răng.
4.4. Khám nha khoa định kỳ để theo dõi tình trạng răng
Bạn nên thăm khám nha khoa khoảng 3 – 6 tháng một lần để theo dõi tình trạng răng, đặc biệt là những chỗ trám. Việc kiểm tra định kỳ giúp phát hiện sớm các dấu hiệu bong tróc, hở trám hoặc sâu răng, từ đó có thể xử lý kịp thời.
5. Cách hạn chế tình trạng răng trám rồi bị sâu lại
“Trám răng rồi có bị sâu lại không?”, thực tế, răng có thể tái sâu nếu không chăm sóc đúng cách. Vì vậy, cần áp dụng các biện pháp sau để bảo vệ miếng trám và duy trì sức khỏe răng miệng.
5.1. Lựa chọn nha khoa uy tín, bác sĩ giàu kinh nghiệm
Chất lượng miếng trám phụ thuộc nhiều vào tay nghề bác sĩ và công nghệ sử dụng. Khi thực hiện tại những nha khoa uy tín, bạn sẽ được đảm bảo kỹ thuật chuẩn xác, vật liệu chất lượng. Từ đó, miếng trám sẽ bền chắc hơn và hạn chế tình trạng bong tróc. Đồng thời, bác sĩ cũng sẽ đánh giá chính xác tình trạng răng miệng và tư vấn phương án phù hợp cho bạn, giảm nguy cơ tái phát sâu răng.

5.2. Vệ sinh răng miệng khoa học
Bạn nên đánh răng và sử dụng nước súc miệng 2 lần mỗi ngày sau bữa ăn giúp loại bỏ thức ăn thừa và vi khuẩn, giảm nguy cơ sâu răng. Nên dùng bàn chải lông mềm và chải đều tất cả các mặt răng. Đồng thời, chọn kem đánh răng và nước súc miệng chứa hàm lượng fluoride khoảng 0,2% để tăng hiệu quả làm sạch.
5.3. Chế độ ăn uống lành mạnh
Thực phẩm bạn sử dụng hàng ngày ảnh hưởng trực tiếp đến độ bền của miếng trám. Hạn chế đồ ngọt, chiên rán nhiều dầu mỡ, đồ cay nóng và thực phẩm quá cứng. Thay vào đó, bổ sung các thực phẩm giàu canxi, vitamin D và chất xơ. Các loại thực phầm này sẽ giúp răng chắc khỏe, tăng khả năng chống lại vi khuẩn và axit, giảm nguy cơ trám răng bị sâu trở lại.
5.4. Tái khám và lấy cao răng định kỳ
Khám răng định kỳ 6 tháng/lần giúp phát hiện sớm những vấn đề như miếng trám bị hở, vỡ hoặc răng có dấu hiệu tái sâu răng. Lấy cao răng định kỳ còn loại bỏ mảng bám cứng và vi khuẩn tích tụ quanh chân răng. Nhờ đó, hạn chế được tình trạng sâu răng tái phát và duy trì sức khỏe răng miệng lâu dài.

5.5. Loại bỏ thói quen xấu gây hỏng miếng trám
Những thói quen như nghiến răng khi ngủ, dùng răng cắn vật cứng, xé bao bì, hút thuốc hay dùng tăm tre đều làm tăng nguy cơ bong tróc miếng trám và tái sâu răng. Vì vậy, hãy thay đổi các thói quen này giúp miếng trám được bền lâu hơn.
Việc hiểu rõ “trám răng rồi có bị sâu lại không” giúp bạn chủ động phòng ngừa và chăm sóc răng đúng cách. Nha khoa Việt Mỹ luôn sẵn sàng tư vấn và hỗ trợ điều trị tối ưu. Liên hệ ngay đến hotline 1900 636 734 của chúng tôi để được thăm khám và bảo vệ nụ cười trọn vẹn.

Bác sĩ Nguyễn Văn Thuyền tốt nghiệp từ trường Đại học Y Dược Thành phố Hồ Chí Minh, một trong những cái nôi đào tạo y khoa hàng đầu cả nước. Với nền tảng kiến thức vững chắc và sự đam mê với nghề, bác sĩ Thuyền chịu trách nhiệm kiểm duyệt và đảm bảo những thông tin trên website chính xác.











cho dòng răng toàn sứ
1900 636 734
cskh@nhakhoavietmy.com.vn
Ưu đãi đến 35% dòng răng toàn sứ
1900 636 734
cskh@nhakhoavietmy.com.vn
Bài viết liên quan:
20 tuổi niềng răng bao nhiêu tiền? Chi phí & phương pháp phù hợp
Niềng răng trong suốt có đau không? Sự thật bạn nên biết
Niềng răng không mắc cài là gì? Có hiệu quả không & giá bao nhiêu?