1. Tháo răng sứ có đau không? Nếu đau thì nên làm gì?
Tháo răng sứ là một kỹ thuật nha khoa nhằm loại bỏ mão sứ cũ để kiểm tra tình trạng răng thật bên trong hoặc thay thế mão sứ mới. Thông thường, quá trình tháo răng sứ diễn ra nhẹ nhàng và không gây đau đớn dữ dội. Trước khi thực hiện, bác sĩ sẽ tiêm thuốc tê để ức chế tín hiệu truyền về hệ thần kinh, nhờ đó bệnh nhân hầu như không cảm thấy đau. Sau đó, nếu có ê buốt nhẹ, bác sĩ cũng sẽ kê thêm thuốc giảm đau để giúp bạn dễ chịu hơn.
Tuy nhiên, câu trả lời cho câu hỏi “tháo răng sứ có đau không?” còn phụ thuộc vào tình trạng răng thật bên trong và mức độ chịu đau của mỗi người. Nếu răng khỏe mạnh, chưa bị viêm nhiễm hay tổn thương tủy thì quá trình tháo diễn ra khá nhẹ nhàng. Ngược lại, trong trường hợp mão sứ bị gắn sai kỹ thuật, gây viêm nướu, viêm tủy hoặc răng thật đã bị mài mòn, bệnh nhân có thể cảm thấy ê buốt rõ rệt hơn.

Nhìn chung, với sự tiến bộ của nha khoa hiện đại, quy trình tháo răng sứ thường diễn ra nhẹ nhàng và không gây đau đớn. Nếu bạn gặp tình trạng răng bị đau, sưng sau khi tháo sứ thì cần tuân thủ các nguyên tắc:
- Thông báo ngay cho bác sĩ: Cảm giác đau bất thường cần được kiểm tra kịp thời để xác định nguyên nhân.
- Điều trị triệt để răng thật: Nếu răng bên trong bị sâu, viêm tủy hay tổn thương, bác sĩ sẽ tiến hành điều trị trước khi phục hình lại mão sứ.
- Tuân thủ hướng dẫn chăm sóc: Hạn chế ăn nhai mạnh kết hợp vệ sinh răng miệng đúng cách và sử dụng thuốc giảm đau theo chỉ định để giảm khó chịu sau khi tháo.
2. Khi nào cần tháo răng sứ? Những dấu hiệu phổ biến
Không phải lúc nào răng sứ cũng có thể duy trì bền chắc, lâu dài. Trong nhiều trường hợp, bệnh nhân buộc phải tháo răng sứ để đảm bảo sức khỏe răng miệng và khôi phục chức năng ăn nhai. Đặc biệt, nếu bạn làm răng tại những cơ sở kém chất lượng, thậm chí “nha tặc” không đủ chuyên môn, nguy cơ phải tháo răng sứ và làm lại càng cao.
Dưới đây là những dấu hiệu thường gặp cho thấy bạn cần tháo và thay mới mão răng sứ:
- Răng thật bên trong đã bị sâu: Một số nha khoa kém chất lượng thực hiện bọc sứ không đúng kỹ thuật, hình thành một khoảng trống giữa răng thật và mão sứ. Điều này tạo điều kiện để vi khuẩn trú ngụ, tấn công men răng và gây sâu răng thật.
- Đau nhức kéo dài: Tình trạng ê buốt, đau nhức nhiều ngày sau khi bọc răng sứ có thể do viêm tủy chưa được điều trị triệt để, mài răng quá sâu hoặc sai lệch khớp cắn.
- Răng sứ bị vỡ, sứt mẻ: Ăn nhai đồ cứng, va đập mạnh, nghiến răng hoặc thói quen xấu như cắn móng tay có thể làm răng sứ nứt, vỡ.
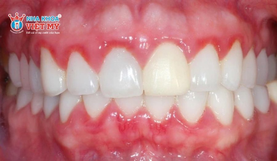
- Viêm lợi sau bọc răng sứ: Nếu quá trình mài răng hoặc chế tác răng sứ sai kỹ thuật, vi khuẩn dễ xâm nhập, gây viêm lợi, sưng đau, chảy máu hoặc hôi miệng.
- Răng sứ bị hở, cong vênh: Do sai sót trong thao tác lấy dấu, chế tác hoặc gắn sứ khiến mão không khít với cùi răng. Nếu tình trạng này kéo dài sẽ gây kẹt thức ăn trong kẽ răng, sâu răng và viêm nướu, tụt lợi, buộc phải tháo răng sứ để chỉnh lại.
- Hôi miệng sau bọc sứ: Xuất phát từ mão sứ lắp không khít hoặc do chế tác sai kỹ thuật khiến vi khuẩn tích tụ.
- Dị ứng chất liệu răng sứ: Một số bệnh nhân nhạy cảm với hợp kim trong răng sứ kim loại, gây viêm nướu hoặc đổi màu viền nướu.
- Viền nướu bị đen: Với răng sứ kim loại, sau thời gian sử dụng, kim loại có thể bị oxy hóa khiến nướu đổi màu đen, mất thẩm mỹ.
- Răng sứ xỉn màu: Do kỹ thuật bọc không chuẩn hoặc chế độ vệ sinh, ăn uống không hợp lý khiến răng sứ ngả màu, kém tự nhiên.
Việc phát hiện sớm và xử lý kịp thời tình trạng răng sứ bất thường sẽ giúp bảo tồn răng thật, đảm bảo sức khỏe răng miệng. Do đó, khi nhận thấy những dấu hiệu trên, bạn nên đến cơ sở nha khoa uy tín để được bác sĩ chẩn đoán và đưa ra hướng điều trị phù hợp.

3. Quy trình tháo răng sứ diễn ra như thế nào? Có ảnh hưởng đến răng thật không?
Nhiều người lo lắng không biết quy trình tháo răng sứ có đau không và liệu thao tác này có làm hỏng răng thật hay không. Thực tế, việc tháo mão răng sứ hiện nay được tiến hành khá nhẹ nhàng và an toàn với các bước chuẩn y khoa như sau:
Bước 1: Bác sĩ làm sạch khoang miệng, sau đó gây tê tại vùng răng cần tháo để giảm cảm giác ê buốt, giúp bệnh nhân thoải mái trong suốt quá trình điều trị.
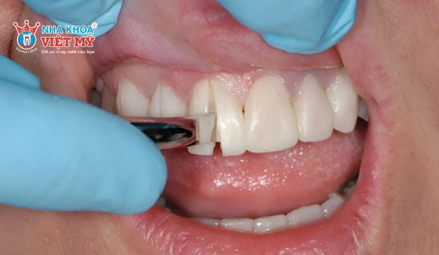
Bước 2: Tùy vào tình trạng răng sứ, bác sĩ sẽ thực hiện một trong hai cách sau:
- Cách 1: Cắt nhỏ mão răng sứ thành từng mảnh và tháo ra từng phần.
- Cách 2: Mài dọc thân răng sứ để lộ phần sườn, sau đó nhẹ nhàng tách mão sứ ra khỏi cùi răng thật.
Bước 3: Sau khi tháo bỏ răng sứ cũ, bác sĩ tiến hành xử lý cùi răng và lấy dấu hàm. Điều này giúp chế tác mão sứ mới vừa khít, đồng thời đảm bảo tính thẩm mỹ và chức năng ăn nhai.
Bước 4: Mão sứ mới sẽ được gắn thử và điều chỉnh khớp cắn. Khi đã ổn định, bác sĩ sử dụng keo dán chuyên dụng để cố định vững chắc, mang lại cảm giác tự nhiên và thoải mái khi ăn nhai.

Vậy tháo răng sứ có ảnh hưởng đến răng thật không? Câu trả lời là không. Nếu quá trình tháo răng sứ được thực hiện tại nha khoa uy tín với kỹ thuật hiện đại, răng thật bên trong vẫn được bảo tồn nguyên vẹn. Thậm chí, răng thật còn được điều trị kịp thời nếu phát hiện viêm nhiễm hay tổn thương trong quá trình tháo sứ.
4. Những lưu ý khi bọc lại răng sứ sau khi tháo
Tháo và bọc lại răng sứ là thủ thuật cần sự chính xác cao, nếu làm sai cách có thể ảnh hưởng trực tiếp đến răng thật, nướu và cả chức năng ăn nhai. Chính vì vậy, khi quyết định bọc lại răng sứ, bạn cần ghi nhớ những lưu ý sau:
- Chỉ tháo răng sứ khi thật sự cần thiết và có chỉ định từ bác sĩ chuyên khoa. Việc thay răng sứ nhiều lần không chỉ tốn kém mà còn khiến răng thật yếu đi, dễ nhạy cảm và tổn thương.
- Lựa chọn mão răng sứ chất lượng, phù hợp với tình trạng răng miệng và tỷ lệ khuôn hàm. Răng sứ tốt không chỉ mang lại tính thẩm mỹ mà còn hạn chế nguy cơ phải thay thế nhiều lần, tiết kiệm chi phí lâu dài.
- Ưu tiên nha khoa uy tín với đội ngũ bác sĩ giàu kinh nghiệm, trang thiết bị hiện đại. Điều này giúp quy trình tháo, bọc lại răng sứ diễn ra an toàn, hạn chế đau nhức và duy trì độ bền chắc của răng thật.
- Tuân thủ hướng dẫn chăm sóc: Sau khi bọc lại, hãy vệ sinh răng miệng đúng cách và tái khám định kỳ để đảm bảo răng sứ luôn bền đẹp.

5. Cách chăm sóc răng miệng sau tháo và bọc lại răng sứ
Sau khi tháo răng sứ cũ và bọc lại răng sứ mới, giai đoạn chăm sóc răng miệng không chỉ giúp răng sứ mới thích nghi tốt mà còn bảo vệ cùi răng thật bên trong, tránh các vấn đề như sâu răng hay viêm nướu. Dưới đây là những lưu ý quan trọng bạn nên áp dụng:
- Giữ vệ sinh răng miệng sạch sẽ: Đánh răng ít nhất 2 lần/ngày bằng bàn chải lông mềm, kết hợp dùng chỉ nha khoa hoặc tăm nước để loại bỏ mảng bám ở kẽ răng.
- Súc miệng với nước muối sinh lý: Giúp sát khuẩn, giảm viêm nướu và ngăn ngừa vi khuẩn gây hôi miệng.
- Ăn uống khoa học: Hạn chế đồ ăn quá cứng, quá nóng hoặc quá lạnh trong thời gian đầu. Tránh thói quen nhai đá, cắn móng tay hay mở nắp chai bằng răng để tránh làm sứ nứt vỡ.
- Không hút thuốc lá và hạn chế đồ uống có màu: Như cà phê, trà, rượu vang… để giữ răng sứ trắng sáng lâu dài.
- Tái khám định kỳ: Đến nha khoa kiểm tra định kỳ 6 tháng/lần để bác sĩ theo dõi tình trạng răng sứ và xử lý kịp thời các vấn đề phát sinh.

Qua những thông tin trên, chắc hẳn bạn đã có lời giải đáp rõ ràng cho thắc mắc “tháo răng sứ có đau không”. Có thể thấy, với công nghệ hiện đại và tay nghề bác sĩ giàu kinh nghiệm, quá trình tháo răng sứ thường không gây đau nhức và đảm bảo an toàn cho răng thật. Nếu bạn vẫn còn lo lắng về việc tháo răng sứ, hãy đến Nha khoa Việt Mỹ để được thăm khám tận tình, hoặc liên hệ hotline 1900 636 734 đặt lịch khám nhanh nhất!

Bác sĩ Nguyễn Văn Thuyền tốt nghiệp từ trường Đại học Y Dược Thành phố Hồ Chí Minh, một trong những cái nôi đào tạo y khoa hàng đầu cả nước. Với nền tảng kiến thức vững chắc và sự đam mê với nghề, bác sĩ Thuyền chịu trách nhiệm kiểm duyệt và đảm bảo những thông tin trên website chính xác.










