1. Implant bị đào thải là tình trạng gì?
Implant bị đào thải là tình trạng trụ Titanium không tích hợp ổn định với xương hàm sau khi cấy ghép. Khi quá trình tích hợp xương (osseointegration) bị gián đoạn, trụ Implant không bám chắc, có thể gây lỏng trụ và viêm mô quanh vùng cấy ghép. Tình trạng này có thể xảy ra sớm trong vài tuần đầu hoặc muộn hơn sau vài tháng, đặc biệt khi chăm sóc răng miệng không đúng cách. Nếu không được phát hiện và xử lý kịp thời, trụ Implant có thể mất khả năng nâng đỡ phục hình và cần can thiệp nha khoa chuyên sâu.

2. Những nguyên nhân khiến trụ implant bị đào thải
Trụ Implant bị đào thải có thể là khi quá trình tích hợp xương không diễn ra thuận lợi hoặc bị gián đoạn bởi nhiều yếu tố khác nhau. Dưới đây là 7 nguyên nhân phổ biến khiến trụ Implant không thể ổn định và duy trì lâu dài trong xương hàm:
- Mật độ xương hàm yếu: Xương hàm mỏng, xốp hoặc tiêu xương nhiều khiến trụ Implant khó bám chắc, dễ bị lung lay sau khi cấy ghép.
- Viêm quanh Implant: Việc vệ sinh răng miệng không đúng cách tạo điều kiện cho vi khuẩn tích tụ, gây viêm mô mềm và tiêu xương quanh trụ.
- Kỹ thuật đặt trụ sai lệch: Trụ Implant bị đặt lệch hướng, sai vị trí hoặc không đúng trục lực nhai, làm giảm độ ổn định và tăng nguy cơ đào thải.
- Chất lượng trụ Implant kém: Vật liệu không đạt tiêu chuẩn y khoa hoặc không tương thích sinh học làm tăng tỷ lệ trụ bị đào thải.

- Nhiễm khuẩn sau phẫu thuật: Do chăm sóc hậu phẫu không đúng hướng dẫn hoặc vi khuẩn xâm nhập vào vết thương cấy ghép.
- Bệnh lý toàn thân: Các bệnh như tiểu đường, loãng xương hoặc rối loạn miễn dịch có thể làm suy giảm khả năng tương thích và phục hồi của Implant.
3. Những dấu hiệu cho thấy trụ implant đang bị đào thải
Dấu hiệu trụ Implant bị đào thải thường không xuất hiện nhiều mà tiến triển âm thầm theo thời gian. Việc nhận biết sớm các biểu hiện bất thường, có hành động can thiệp kịp thời, hạn chế viêm nhiễm và tăng khả năng bảo tồn trụ Implant. Dưới đây là 4 dấu hiệu trụ Implant bị đào thải thường bệnh, tuyệt đối không nên chủ quan.
3.1. Trụ implant không ổn định, xô lệch khi ăn nhai
Khi Implant tích hợp xương tốt, trụ sẽ cố định hoàn toàn và không có bất kỳ chuyển động nào. Nếu cảm thấy trụ Implant bị lung lay, xô lệch khi ăn nhai hoặc có cảm giác chuyển động khi chạm nhẹ, đây là dấu hiệu cho thấy quá trình tích hợp xương đã thất bại. Nguyên nhân có thể do xương quanh trụ bị tiêu hoặc mật độ xương không đủ để giữ trụ ổn định. Trường hợp này cần được thăm khám sớm để tránh nguy cơ mất trụ vĩnh viễn.
3.2. Tình trạng chảy máu kéo dài
Hiện tượng chảy máu nhẹ trong vòng 24 giờ sau khi cấy ghép Implant được xem là bình thường. Tuy nhiên, nếu tình trạng chảy máu kéo dài nhiều ngày, dễ tái diễn khi chạm nhẹ hoặc vệ sinh răng miệng, đây có thể là dấu hiệu viêm nhiễm hoặc phản ứng đào thải trụ Implant. Biểu hiện này thường đi kèm với đau nhức và sưng nướu, ảnh hưởng trực tiếp đến quá trình tích hợp xương.

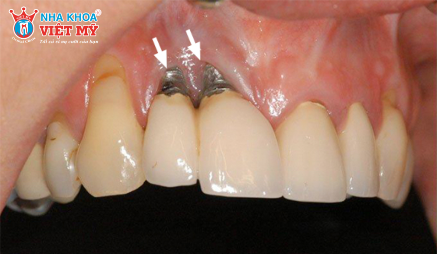
3.3. Trụ Implant bị nhô lên khỏi nướu và mất niêm mạc bao phủ xung quanh
Trong giai đoạn lành thương, mô nướu cần che phủ và bảo vệ trụ Implant. Khi trụ có dấu hiệu nhô cao hơn bình thường, kèm theo hiện tượng tiêu mô mềm hoặc mất niêm mạc bao quanh, Implant sẽ dễ bị lộ và gây cảm giác đau nhức. Đây là dấu hiệu cho thấy mô nướu đang bị viêm hoặc thoái hóa, làm tăng đáng kể nguy cơ trụ Implant bị đào thải.
3.4. Vùng quanh trụ Implant bị viêm nhiễm, sưng đỏ
Viêm quanh Implant (Peri-implantitis) là một trong những biến chứng nghiêm trọng nhất sau cấy ghép. Khi vùng nướu quanh trụ xuất hiện các dấu hiệu như sưng đỏ, đau nhức, chảy dịch hoặc có mủ, chứng tỏ vi khuẩn đã xâm nhập và tấn công xương nâng đỡ Implant. Nếu tình trạng viêm kéo dài, xương quanh trụ sẽ bị tiêu nhanh, khiến Implant mất liên kết và có nguy cơ bị đào thải hoàn toàn.
4. Hậu quả khi đào thải Implant
- Tiêu xương hàm nhanh tại vị trí cấy ghép: Khi trụ Implant không còn tích hợp ổn định, vùng xương xung quanh sẽ dần bị tiêu do viêm nhiễm và mất lực kích thích sinh lý. Tình trạng tiêu xương khiến việc cấy ghép lại Implant sau này trở nên phức tạp và tốn kém hơn.
- Viêm nhiễm lan rộng mô quanh Implant: Trụ Implant bị đào thải tạo điều kiện cho vi khuẩn phát triển và tấn công mô nướu, xương nâng đỡ xung quanh. Viêm nhiễm kéo dài có thể lan sang các răng kế cận, làm gia tăng mức độ tổn thương răng miệng.
- Suy giảm chức năng ăn nhai tại vị trí cấy ghép: Khi trụ Implant bị lỏng hoặc mất ổn định, mão răng phía trên không còn điểm tựa vững chắc. Điều này khiến việc ăn nhai trở nên khó khăn, gây đau nhức và ảnh hưởng trực tiếp đến sinh hoạt hằng ngày.
- Tăng chi phí và kéo dài thời gian điều trị: Việc xử lý trụ Implant bị đào thải thường đòi hỏi nhiều bước can thiệp như điều trị viêm, ghép xương hoặc cấy ghép lại Implant. Quá trình điều trị phức tạp khiến người bệnh tốn thêm chi phí và thời gian so với kế hoạch ban đầu.
5. Giải pháp khắc phục tình trạng trụ Implant bị đào thải
Khi trụ Implant xuất hiện dấu hiệu đào thải, việc can thiệp kịp thời đóng vai trò quan trọng trong việc kiểm soát viêm nhiễm, hạn chế tiêu xương và tăng khả năng bảo tồn nền xương hàm. Tùy vào mức độ tổn thương và khả năng tích hợp của trụ, bác sĩ sẽ chỉ định giải pháp phù hợp theo từng giai đoạn.
- Thăm khám lâm sàng và chụp phim đánh giá chính xác tình trạng: Bác sĩ tiến hành kiểm tra độ ổn định của trụ Implant, mức độ viêm mô quanh trụ và tình trạng tiêu xương thông qua thăm khám trực tiếp kết hợp chụp phim X-quang hoặc CT Cone Beam. Đây là bước nền tảng giúp xác định trụ còn khả năng bảo tồn hay cần can thiệp sâu hơn.

- Điều trị viêm quanh Implant để kiểm soát nhiễm trùng: Trường hợp viêm nhẹ đến trung bình sẽ được làm sạch sâu vùng quanh trụ, loại bỏ mảng bám và mô viêm, kết hợp kháng sinh hoặc laser nha khoa nhằm kiểm soát vi khuẩn và hạn chế tiến triển tiêu xương.
- Ghép xương hoặc ghép mô mềm khi có tổn thương nâng đỡ: Khi đào thải Implant đã gây tiêu xương hoặc tụt nướu, bác sĩ chỉ định ghép xương và/hoặc ghép mô mềm để tái tạo nền nâng đỡ vững chắc, tạo điều kiện an toàn cho phục hình tiếp theo.
- Tháo bỏ trụ Implant khi không còn khả năng tích hợp: Trong trường hợp trụ lỏng nhiều, viêm nhiễm lan rộng và không thể bảo tồn, việc tháo trụ là cần thiết nhằm ngăn ngừa biến chứng và bảo vệ xương hàm còn lại.
- Cấy ghép lại Implant sau khi mô xương ổn định: Sau khi kiểm soát viêm và phục hồi mô xương – mô mềm, bác sĩ có thể chỉ định cấy ghép lại Implant mới với trụ chất lượng cao, quy trình vô khuẩn nghiêm ngặt và theo dõi sát sao để đảm bảo kết quả lâu dài.
6. Làm sao để phòng ngừa tình trạng trụ Implant bị đào thải
Để hạn chế nguy cơ trụ Implant bị đào thải và đảm bảo kết quả cấy ghép bền vững lâu dài, việc lựa chọn trụ Implant chất lượng cao, phù hợp với cơ địa và tình trạng xương hàm của từng người là yếu tố quan trọng hàng đầu. Bên cạnh đó, người bệnh cần chủ động thực hiện đồng bộ các biện pháp phòng ngừa dưới đây nhằm hỗ trợ quá trình tích hợp xương và giảm thiểu biến chứng sau cấy ghép.
- Lựa chọn trụ Implant chất lượng cao, rõ nguồn gốc: Trụ Implant đạt tiêu chuẩn y khoa, làm từ Titanium tinh khiết hoặc Titanium hợp kim sinh học cao giúp tăng khả năng tích hợp xương và giảm nguy cơ đào thải. Việc lựa chọn đúng loại trụ phù hợp với mật độ xương và tình trạng răng miệng là yếu tố quyết định đến độ bền lâu dài của ca cấy ghép.
- Chọn nha khoa uy tín với bác sĩ chuyên sâu về Implant: Nha khoa có đội ngũ bác sĩ giàu kinh nghiệm, được đào tạo chuyên sâu về cấy ghép Implant và trang thiết bị hiện đại sẽ giúp đảm bảo quy trình cấy ghép chính xác, an toàn và hạn chế tối đa rủi ro đào thải trụ.
- Thăm khám và kiểm tra sức khỏe tổng quát trước khi cấy ghép: Việc kiểm soát tốt các bệnh lý nền như tiểu đường, tim mạch hoặc loãng xương giúp tăng khả năng lành thương và tích hợp xương của trụ Implant, từ đó giảm nguy cơ biến chứng sau phẫu thuật.
- Chăm sóc răng miệng đúng cách sau cấy ghép: Người bệnh cần đánh răng nhẹ nhàng 2–3 lần/ngày, sử dụng chỉ nha khoa hoặc tăm nước và nước súc miệng kháng khuẩn để hạn chế mảng bám, bảo vệ mô quanh trụ Implant trong giai đoạn lành thương.
- Tránh các thói quen gây cản trở tích hợp xương: Hút thuốc lá, uống rượu bia hoặc nhai mạnh tại vùng cấy ghép trong thời gian đầu có thể làm chậm quá trình lành thương và tăng nguy cơ viêm quanh Implant, dẫn đến đào thải trụ.
- Tái khám định kỳ và theo dõi sát sau cấy ghép: Tuân thủ lịch tái khám giúp bác sĩ đánh giá tiến trình tích hợp xương, phát hiện sớm các dấu hiệu bất thường và can thiệp kịp thời, đảm bảo kết quả cấy ghép Implant ổn định lâu dài.

Nhận biết sớm các dấu hiệu trụ Implant bị đào thải giúp giảm thiểu biến chứng và bảo vệ sức khỏe răng miệng. Nếu xuất hiện bất kỳ dấu hiệu bất thường nào, hãy đến Nha khoa Việt Mỹ hoặc liên hệ hotline: 1900 636 734 để được thăm khám và điều trị kịp thời. Đội ngũ bác sĩ chuyên môn cao sẽ tư vấn và lựa chọn phương án phục hồi phù hợp, an toàn và hiệu quả cho từng trường hợp.

Bác sĩ Nguyễn Văn Thuyền tốt nghiệp từ trường Đại học Y Dược Thành phố Hồ Chí Minh, một trong những cái nôi đào tạo y khoa hàng đầu cả nước. Với nền tảng kiến thức vững chắc và sự đam mê với nghề, bác sĩ Thuyền chịu trách nhiệm kiểm duyệt và đảm bảo những thông tin trên website chính xác.










cho dòng răng toàn sứ
1900 636 734
cskh@nhakhoavietmy.com.vn
Ưu đãi đến 35% dòng răng toàn sứ
1900 636 734
cskh@nhakhoavietmy.com.vn
Bài viết liên quan:
20 tuổi niềng răng bao nhiêu tiền? Chi phí & phương pháp phù hợp
Niềng răng trong suốt có đau không? Sự thật bạn nên biết
Niềng răng không mắc cài là gì? Có hiệu quả không & giá bao nhiêu?