1. 9 nguyên nhân chính gây tụt lợi sau bọc răng sứ
Bọc răng sứ bị tụt lợi là tình trạng không hiếm gặp và có thể xảy ra sau một thời gian phục hình nếu không được thực hiện đúng kỹ thuật hoặc chăm sóc răng miệng phù hợp. Dưới đây là những nguyên nhân phổ biến dẫn đến tình trạng tụt lợi sau khi bọc răng sứ mà bạn cần đặc biệt lưu ý:
- Lấy dấu răng không chính xác: Kỹ thuật lấy dấu răng không chuẩn xác có thể khiến mão sứ được chế tác sai kích thước, không ôm sát cùi răng. Khi tồn tại khe hở giữa mão sứ và răng thật, vi khuẩn dễ tích tụ, gây viêm lợi và lâu dài dẫn đến tụt nướu.

- Mài cùi răng sai kỹ thuật hoặc mão sứ lắp kênh: Việc mài răng quá mức hoặc mão sứ không khít sát viền nướu tạo khoảng hở khiến thức ăn dễ mắc kẹt. Lâu ngày, mô lợi bị kích thích liên tục, gây viêm mạn tính và dẫn đến tụt nướu.
- Thiết bị nha khoa lạc hậu: Máy móc, công nghệ không đạt chuẩn làm tăng sai số trong chẩn đoán và chế tác răng sứ. Điều này khiến phục hình kém chính xác, giảm độ ôm sát với mô nướu và làm tăng nguy cơ viêm, tụt lợi. Vì vậy hãy ưu tiên lựa chọn những nha khoa uy tín, có thâm niên lâu năm.
- Vật liệu sứ kém chất lượng: Sứ không rõ nguồn gốc hoặc không đạt tiêu chuẩn y khoa có thể gây kích ứng mô lợi. Nướu nhạy cảm dễ viêm, sưng và thoái hóa nhanh hơn, từ đó dẫn đến tụt nướu sau bọc sứ.
- Không điều trị dứt điểm bệnh lý răng miệng trước khi bọc sứ: Viêm lợi, viêm nha chu hoặc sâu răng nếu vẫn tồn tại sẽ tiếp tục tiến triển sau phục hình. Tình trạng viêm kéo dài là nguyên nhân trực tiếp gây tụt lợi quanh răng sứ.
- Chăm sóc răng miệng sai cách: Chải răng quá mạnh, dùng bàn chải lông cứng hoặc không sử dụng chỉ nha khoa gây tổn thương cơ học cho mô lợi. Tổn thương lặp đi lặp lại lâu dài khiến nướu yếu và dễ tụt.
- Khớp cắn lệch sau bọc sứ: Khớp cắn không cân bằng tạo lực nhai tập trung và kéo dài lên một số răng sứ. Áp lực liên tục này làm mô nướu quanh răng bị tổn thương và tụt dần theo thời gian.
- Tiêu xương hàm nhưng vẫn bọc sứ sai chỉ định: Ở người mất răng lâu năm, tiêu xương hàm làm giảm khả năng nâng đỡ mô mềm. Khi phục hình không phù hợp, nướu dễ bị kéo tụt do thiếu nền xương vững chắc.
- Thói quen sinh hoạt không lành mạnh: Hút thuốc lá hoặc thường xuyên ăn đồ quá nóng, quá lạnh đột ngột làm suy giảm khả năng hồi phục của mô nướu. Nướu yếu và dễ viêm hơn, từ đó làm tăng nguy cơ tụt lợi.
>>>Xem thêm: Bảng giá các loại răng giả tại Nha khoa Việt Mỹ
2. Dấu hiệu nhận biết sớm tụt lợi sau bọc răng sứ
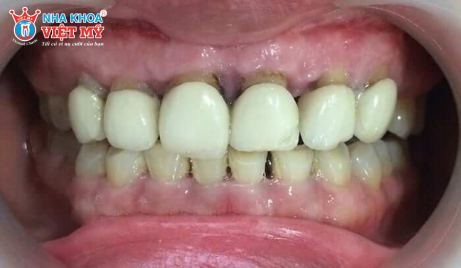
Tụt lợi sau bọc răng sứ thường diễn tiến âm thầm, khó nhận biết ở giai đoạn đầu. Nhiều trường hợp chỉ phát hiện khi nướu đã tụt rõ, ảnh hưởng trực tiếp đến thẩm mỹ và độ bền của răng sứ. Việc nhận diện sớm các dấu hiệu bất thường giúp can thiệp kịp thời, hạn chế viêm nhiễm, tiêu xương và tránh phải tháo mão sứ về sau.
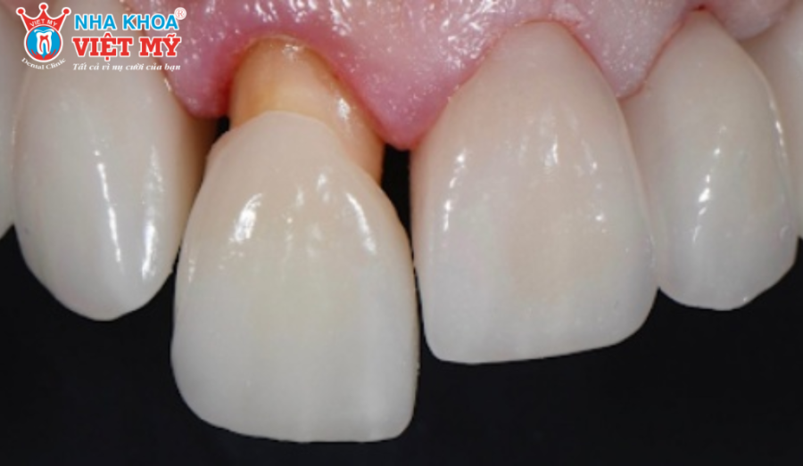
- Cùi răng thật bắt đầu lộ rõ dưới viền mão sứ: Khi nướu tụt dần, mão sứ không còn che phủ kín chân răng như ban đầu. Phần cùi răng thật lộ ra thường có màu sẫm hơn, tạo cảm giác răng dài bất thường. Đây là dấu hiệu sớm cho thấy mô lợi đang thoái hóa và mất khả năng ôm sát phục hình.
- Nướu sưng đỏ, dễ chảy máu: Mô lợi quanh răng sứ bị viêm thường có màu đỏ sậm, mềm và dễ chảy máu khi chải răng hoặc ăn nhai. Tình trạng này xuất phát từ việc vi khuẩn tích tụ ở viền mão sứ, kích thích phản ứng viêm kéo dài và thúc đẩy quá trình tụt lợi.
- Xuất hiện khe hở đen giữa lợi và răng sứ: Khe hở nhỏ màu sẫm ở sát chân răng là biểu hiện của việc nướu đã tụt nhưng chưa quá nghiêm trọng. Tuy nhiên, đây lại là vị trí dễ giắt thức ăn và mảng bám, khiến viêm lợi tiến triển nhanh hơn nếu không được xử lý sớm.
- Ê buốt, đau nhức khi ăn nóng lạnh: Khi chân răng thật lộ ra, lớp ngà răng mất đi sự bảo vệ của mô lợi nên trở nên nhạy cảm hơn. Người bọc sứ sẽ cảm thấy ê buốt rõ rệt khi ăn đồ nóng, lạnh hoặc khi nhai, đặc biệt ở vùng răng chịu lực nhiều.
- Hôi miệng kéo dài dù vệ sinh kỹ: Tụt lợi tạo ra các khe hở khó làm sạch bằng bàn chải thông thường. Vi khuẩn và thức ăn phân hủy tích tụ lâu ngày gây mùi hôi dai dẳng, ngay cả khi đã vệ sinh răng miệng đều đặn.
- Cảm giác răng lung lay, cộm cứng khó chịu: Khi viêm lợi kéo dài, mô nâng đỡ quanh răng sứ suy yếu, kèm theo tiêu xương ổ răng. Điều này khiến răng có cảm giác không chắc, vướng cộm khi ăn nhai và làm giảm đáng kể sự thoải mái trong sinh hoạt hằng ngày.
- Thẩm mỹ nụ cười suy giảm rõ rệt: Tụt lợi khiến răng sứ trông dài hơn, lộ chân răng và mất sự hài hòa giữa răng – nướu. Đây không chỉ là vấn đề thẩm mỹ mà còn phản ánh tình trạng sức khỏe răng miệng đang xuống cấp.
Lưu ý: Khi xuất hiện từ 1-2 dấu hiệu trở lên, người bọc răng sứ nên đi kiểm tra sớm tại cơ sở nha khoa uy tín. Việc can thiệp kịp thời giúp kiểm soát viêm, bảo tồn mô nướu và kéo dài tuổi thọ của răng sứ.

>>>Xem thêm: Bọc răng sứ có bền không? Có giữ được vĩnh viễn không?
3. Tác hại nghiêm trọng nếu không khắc phục kịp thời
Nếu bọc răng sứ bị tụt lợi kéo dài mà không điều trị, người bệnh có thể đối mặt với nhiều hậu quả nghiêm trọng:
- Nguy cơ viêm nha chu và tiêu xương ổ răng: Khi tụt lợi kéo dài, vi khuẩn dễ xâm nhập sâu vào vùng chân răng, gây viêm nha chu và làm tiêu dần xương ổ răng. Tình trạng này khiến mô nâng đỡ quanh răng suy yếu và khó phục hồi.
- Răng thật suy yếu, giảm khả năng nâng đỡ mão sứ: Phần chân răng lộ ra lâu ngày dễ bị ê buốt, mòn và tổn thương. Khi răng thật không còn đủ vững chắc, mão sứ sẽ mất điểm tựa ổn định.
- Mão sứ lỏng, giảm độ bền và có nguy cơ phải tháo bỏ: Tụt lợi làm giảm độ ôm sát giữa mão sứ và răng thật, khiến phục hình dễ bong sút hoặc sai khớp cắn. Trong nhiều trường hợp, cần tháo mão sứ để điều trị lại từ đầu.
- Gia tăng chi phí điều trị và ảnh hưởng thẩm mỹ lâu dài: Việc can thiệp muộn thường đòi hỏi nhiều bước điều trị phức tạp hơn, tốn thời gian và chi phí. Đồng thời, tình trạng lộ chân răng và tụt lợi cũng làm giảm đáng kể thẩm mỹ nụ cười.
>>> Có thể bạn quan tâm: Làm răng sứ có tốt không? Giữ được bao lâu?

4. 5 cách khắc phục tụt lợi hiệu quả và phòng ngừa lâu dài
Tụt lợi sau bọc răng sứ không chỉ là vấn đề thẩm mỹ mà còn là dấu hiệu cảnh báo sự suy yếu của mô nâng đỡ quanh răng. Nếu xử lý muộn hoặc sai cách, tình trạng này có thể dẫn đến viêm nha chu, tiêu xương ổ răng, làm giảm tuổi thọ răng sứ và thậm chí ảnh hưởng đến răng thật. Do đó, việc khắc phục cần được thực hiện theo hướng điều trị đúng nguyên nhân – can thiệp đúng mức – duy trì chăm sóc lâu dài, dưới sự theo dõi của bác sĩ nha khoa chuyên sâu.
- Thăm khám nha khoa sớm để xác định chính xác nguyên nhân tụt lợi: Khi xuất hiện các dấu hiệu như lộ chân răng, nướu đỏ, ê buốt hay hôi miệng kéo dài, người bọc răng sứ cần đi kiểm tra sớm. Bác sĩ sẽ đánh giá tình trạng mô nướu, độ khít của mão sứ, khớp cắn và mức độ tiêu xương (nếu có). Việc xác định đúng nguyên nhân là cơ sở quan trọng để xây dựng phác đồ điều trị hiệu quả và hạn chế tái phát.
- Điều trị triệt để các bệnh lý nền trước khi phục hình hoặc chỉnh sửa răng sứ: Nhiều trường hợp tụt lợi xuất phát từ viêm lợi, viêm nha chu kéo dài nhưng chưa được xử lý triệt để. Nếu giữ mão sứ khi mô nướu đang viêm, tình trạng tụt lợi sẽ tiến triển nhanh và khó kiểm soát. Do đó, bác sĩ cần làm sạch túi nha chu, kiểm soát vi khuẩn và ổn định mô lợi trước khi chỉnh sửa hoặc phục hình lại răng sứ.
- Phẫu thuật ghép lợi khi tụt lợi nặng, kết hợp công nghệ hiện đại: Với các trường hợp tụt lợi nghiêm trọng hoặc đã kèm tiêu xương ổ răng, ghép lợi là giải pháp cần thiết để phục hồi mô mềm. Phương pháp này giúp che phủ chân răng, cải thiện thẩm mỹ và tăng khả năng bảo vệ răng thật. Một số nha khoa hiện nay kết hợp công nghệ laser nhằm giảm đau và rút ngắn thời gian hồi phục, tùy từng chỉ định cụ thể.
- Chăm sóc răng miệng đúng cách để ngăn ngừa tụt lợi tái phát: Sau điều trị, chăm sóc răng miệng đúng cách quyết định lớn đến hiệu quả lâu dài. Người bọc răng sứ nên dùng bàn chải lông mềm, chải nhẹ theo chiều dọc, kết hợp chỉ nha khoa hoặc tăm nước để làm sạch vùng viền mão sứ. Tránh chải răng quá mạnh hoặc dùng bàn chải lông cứng gây tổn thương mô lợi.
- Khám răng định kỳ và lựa chọn nha khoa uy tín ngay từ đầu: Khám răng định kỳ 6 tháng/lần giúp phát hiện sớm viêm lợi, sai lệch khớp cắn hoặc mão sứ không còn phù hợp. Đồng thời, lựa chọn nha khoa uy tín với bác sĩ có chuyên môn về phục hình và nha chu ngay từ đầu sẽ giúp giảm đáng kể nguy cơ tụt lợi sau bọc sứ, đảm bảo thẩm mỹ và sức khỏe răng miệng lâu dài.

>>>Xem thêm: Top 9 Phòng Khám Nha Khoa Uy Tín Nhất Tại TPHCM
Bọc răng sứ sẽ mang lại hiệu quả thẩm mỹ và ăn nhai lâu dài nếu được thực hiện đúng kỹ thuật và theo dõi đúng cách. Khi gặp tình trạng bọc răng sứ bị tụt lợi, việc thăm khám sớm tại nha khoa uy tín là yếu tố quyết định giúp bảo tồn răng thật và hạn chế biến chứng. Nếu bạn đang bị ê buốt, lộ chân răng hoặc nghi ngờ tụt lợi sau bọc sứ, hãy đặt lịch tư vấn miễn phí tại Nha khoa Việt Mỹ qua hotline: 1900 636 734 để được bác sĩ chuyên khoa trực tiếp kiểm tra và đưa ra giải pháp phù hợp cho từng trường hợp.
Có thể bạn quan tâm:
Xem thêm: Giá niềng răng mắc cài sứ – Giải pháp chỉnh khớp cắn thẩm mỹ
Xem thêm: Niềng răng Zenyum là gì? Công nghệ niềng răng trong suốt hiện đại

Bác sĩ Nguyễn Văn Thuyền tốt nghiệp từ trường Đại học Y Dược Thành phố Hồ Chí Minh, một trong những cái nôi đào tạo y khoa hàng đầu cả nước. Với nền tảng kiến thức vững chắc và sự đam mê với nghề, bác sĩ Thuyền chịu trách nhiệm kiểm duyệt và đảm bảo những thông tin trên website chính xác.




ĐẶT LỊCH NGAY HÔM NAY
1900 636 734
cskh@nhakhoavietmy.com.vn
Đặt lịch ngay hôm nay
1900 636 734
cskh@nhakhoavietmy.com.vn
Bài viết liên quan:
Niềng răng hết bao nhiêu tiền? Bảng giá 5/2026
Các giai đoạn niềng răng chuẩn y khoa từ A-Z
Cách làm cho răng mọc nhanh nhất và an toàn