1. Giới thiệu chung về cầu răng sứ
Cầu răng sứ là phương pháp phục hình thường được áp dụng khi mất từ 1 – 2 răng liền kề trên cùng cung hàm. Nguyên lý thực hiện dựa trên việc sử dụng hai răng thật kế cận khoảng trống mất răng làm trụ nâng đỡ. Các răng này sẽ được mài chỉnh để chụp mão sứ, sau đó gắn cố định một dãy răng sứ liền khối lên trên, tạo thành cầu răng.
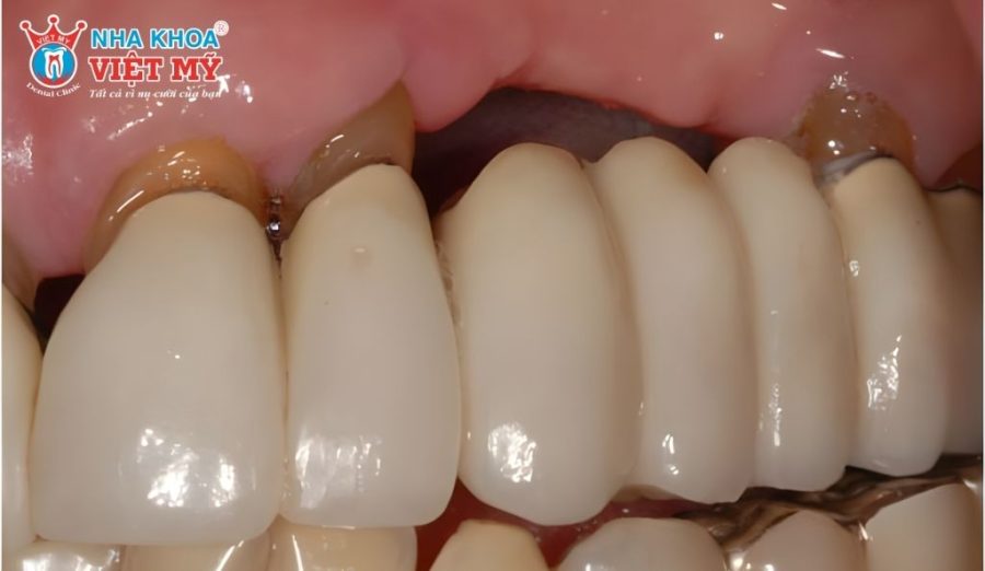
Về cấu tạo, cầu răng sứ gồm răng giả nằm ở vị trí răng đã mất và các mão sứ ở hai đầu giữ vai trò trụ đỡ. Toàn bộ cầu răng được cố định chắc chắn lên răng trụ, giúp lấp đầy khoảng trống trên cung hàm, khôi phục hình dáng và chức năng ăn nhai. Thông thường, một cầu răng sứ có từ 2 – 4 mão sứ, trong đó điều kiện tiên quyết là các răng trụ phải còn khỏe, đủ khả năng chịu lực và nâng đỡ lâu dài cho cấu trúc này.

2. Những nhược điểm chính của cầu răng sứ
Cầu răng sứ giúp cải thiện thẩm mỹ và khả năng ăn nhai trong thời gian ngắn, đồng thời có chi phí hợp lý, dễ tiếp cận với nhiều đối tượng khách hàng. Tuy nhiên, bên cạnh những ưu điểm đó, bạn cũng nên lưu ý các nhược điểm của cầu răng sứ dưới đây:
2.1. Nguy cơ ảnh hưởng đến răng thật
Để làm cầu răng sứ, các răng kế cận vị trí mất răng phải được mài nhỏ, đồng nghĩa với việc men răng tự nhiên bị xâm lấn. Theo thời gian, răng trụ có thể trở nên nhạy cảm, dễ ê buốt khi ăn uống nóng hoặc lạnh. Nếu vệ sinh không kỹ, thức ăn dễ mắc lại dưới cầu răng, tăng nguy cơ viêm nướu, sâu răng,… thậm chí có thể mất thêm răng thật.
2.2. Không ngăn chặn tình trạng tiêu xương hàm
Một nhược điểm lớn của cầu răng sứ là phương pháp chỉ phục hồi phần thân răng mà không thay thế được chân răng đã mất. Vì vậy, xương hàm tại vị trí mất răng vẫn tiếp tục tiêu dần theo thời gian. Về lâu dài, tiêu xương hàm có thể gây xô lệch răng thật, sai khớp cắn và làm giảm sự cân đối của khuôn mặt.

2.3. Tuổi thọ sử dụng không cao
Lực ăn nhai khi sử dụng cầu răng sứ chủ yếu dồn lên các răng trụ, khiến chúng phải chịu áp lực lớn trong thời gian dài. Điều này làm răng trụ yếu dần, giảm khả năng nâng đỡ hoặc gãy cầu răng. Thông thường, cầu răng sứ chỉ duy trì hiệu quả khoảng 7 – 10 năm.
2.4. Hạn chế về đối tượng thực hiện
Hạn chế về đối tượng thực hiện là một trong những nhược điểm của cầu răng sứ dễ gặp nhất. Cầu răng sứ chỉ phù hợp với những trường hợp mất từ 1 – 2 răng liền kề và bắt buộc các răng bên cạnh phải còn chắc khỏe, không mắc bệnh lý răng miệng. Phương pháp này không áp dụng cho người mất nhiều răng hoặc mất răng toàn hàm do không còn đủ răng thật để làm trụ nâng đỡ.
3. Các trường hợp không được làm cầu răng sứ dù đã mất răng
Dù được xem là giải pháp phục hình phổ biến, cầu răng sứ không phải lúc nào cũng phù hợp với mọi trường hợp mất răng. Trên thực tế, có những tình trạng răng miệng nếu vẫn cố thực hiện cầu răng sứ sẽ tiềm ẩn nhiều rủi ro và biến chứng khó lường.
3.1. Răng trụ yếu, viêm nha chu hoặc đã điều trị tủy
Điều kiện tiên quyết khi làm cầu răng sứ là hai răng trụ hai bên phải còn chắc khỏe và ổn định. Trong trường hợp răng trụ bị sâu lớn, lung lay, viêm nha chu hoặc đã từng điều trị tủy, khả năng chịu lực của răng đã suy giảm đáng kể. Việc tiếp tục mài răng để làm trụ không chỉ khiến răng yếu hơn mà còn làm tăng nguy cơ nứt, gãy và viêm nhiễm về sau.

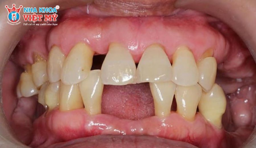
3.2. Mất nhiều răng liền kề
Cầu răng sứ chỉ phát huy hiệu quả khi phục hình một răng mất đơn lẻ. Khi mất từ ba răng trở lên, cầu răng sẽ phải kéo dài, tạo áp lực lớn lên răng trụ hai bên. Lực nhai lúc này không được phân bổ đều, khiến răng trụ nhanh chóng suy yếu, lung lay hoặc nứt vỡ.
Trên thực tế, nhiều trường hợp làm cầu răng sứ dài phải tháo bỏ toàn bộ sau vài năm do răng trụ hư hỏng, buộc phải chuyển sang phương pháp khác với chi phí cao hơn nhiều.
3.3. Tiêu xương hàm nhiều, tụt nướu
Sau khi mất răng, nếu không phục hình kịp thời, xương hàm tại vị trí đó sẽ tiêu dần và nướu có xu hướng tụt xuống. Khi xương và nướu đã suy giảm nhiều, việc gắn cầu răng sứ thường không mang lại hiệu quả như mong muốn. Cầu răng lúc này dễ xuất hiện khoảng hở lớn giữa răng giả và nướu, gây mất thẩm mỹ và làm hàm răng trông kém tự nhiên.

4. Các dấu hiệu cảnh báo cầu răng sứ đang gặp vấn đề
Sau một thời gian sử dụng, cầu răng sứ có thể phát sinh những vấn đề ảnh hưởng đến ăn nhai và sức khỏe răng miệng. Các dấu hiệu dưới đây cho thấy cầu răng sứ có thể đang gặp vấn đề và cần được kiểm tra sớm:
- Đau nhức hoặc ê buốt kéo dài tại răng trụ, đặc biệt khi ăn nhai hoặc sử dụng đồ nóng, lạnh.
- Nướu quanh cầu răng sưng đỏ, chảy máu, kèm cảm giác khó chịu hoặc đau âm ỉ.
- Hơi thở có mùi hôi kéo dài dù đã vệ sinh răng miệng thường xuyên, do thức ăn và vi khuẩn tích tụ dưới cầu răng.
- Cảm giác cầu răng lỏng lẻo, cộm cấn, ăn nhai không chắc hoặc dễ mỏi hàm.
- Lệch khớp cắn, đau khớp thái dương hàm khi nhai hoặc há miệng.
- Cầu răng sứ bị nứt, mẻ, sứt hoặc đổi màu, làm giảm thẩm mỹ và chức năng sử dụng.
Khi xuất hiện bất kỳ dấu hiệu nào kể trên, nên sớm đến nha khoa để được kiểm tra và xử lý kịp thời, tránh những biến chứng nghiêm trọng hơn về sau.

5. Những lựa chọn khác ngoài cầu răng sứ bạn có thể cân nhắc
Khi cầu răng sứ không còn là lựa chọn phù hợp, người mất răng vẫn có thể cân nhắc các phương án phục hình khác, tùy theo tình trạng răng miệng và nhu cầu sử dụng:
- Cấy ghép Implant: Phương pháp giúp ngăn ngừa tiêu xương hàm, đảm bảo khả năng ăn nhai gần như răng thật và không xâm lấn các răng bên cạnh. Dù chi phí ban đầu cao hơn làm cầu răng sứ, Implant mang lại hiệu quả lâu dài và tính ổn định cao.
- Hàm giả tháo lắp: Đây là lựa chọn phù hợp với người mất nhiều răng hoặc không đủ điều kiện thực hiện các phương pháp cố định. Ưu điểm của giải pháp này là chi phí thấp, dễ thực hiện, tuy nhiên khả năng ăn nhai và độ bền thường không cao, cần tháo ra vệ sinh thường xuyên.
Việc lựa chọn giải pháp nào cần dựa trên thăm khám kỹ lưỡng, đánh giá tình trạng xương hàm, răng còn lại. Bạn nên đến các cơ sở nha khoa uy tín để được bác sĩ tư vấn phương pháp phù hợp, nhằm đảm bảo an toàn và hiệu quả lâu dài cho sức khỏe răng miệng.

Nhìn chung, việc hiểu rõ nhược điểm của cầu răng sứ sẽ giúp bạn tránh những quyết định vội vàng và hạn chế rủi ro không mong muốn trong quá trình phục hình răng mất. Mỗi phương pháp đều có ưu và nhược điểm riêng, vì vậy lựa chọn đúng giải pháp ngay từ đầu là yếu tố quan trọng để bảo vệ sức khỏe răng miệng lâu dài. Hãy liên hệ Nha khoa Việt Mỹ qua hotline 1900 636 734 để đặt lịch thăm khám và nhận tư vấn từ bác sĩ.

Bác sĩ Nguyễn Văn Thuyền tốt nghiệp từ trường Đại học Y Dược Thành phố Hồ Chí Minh, một trong những cái nôi đào tạo y khoa hàng đầu cả nước. Với nền tảng kiến thức vững chắc và sự đam mê với nghề, bác sĩ Thuyền chịu trách nhiệm kiểm duyệt và đảm bảo những thông tin trên website chính xác.










cho dòng răng toàn sứ
1900 636 734
cskh@nhakhoavietmy.com.vn
Ưu đãi đến 35% dòng răng toàn sứ
1900 636 734
cskh@nhakhoavietmy.com.vn
Bài viết liên quan:
[Giải đáp] Làm cầu răng sứ có bị tiêu xương không?
Tìm hiểu răng sứ Nacera và chất lượng trên thị trường
Trụ Implant Biotem giá bao nhiêu? Có gì nổi bật so với các loại trụ khác