Mài xương ổ răng là gì?
Mài xương ổ răng là một kỹ thuật nha khoa tiên tiến, giúp điều chỉnh và làm mỏng phần xương hàm tại vị trí ổ răng hoặc chân răng. Phương pháp này thường được áp dụng kết hợp cùng phẫu thuật cắt lợi trong quá trình điều trị răng hô, cười hở lợi do xương ổ răng phát triển quá mức.
Khi tiến hành, bác sĩ sẽ nhẹ nhàng bóc tách mô lợi quanh chân răng để bộc lộ phần xương hàm. Sau đó thực hiện mài và điều chỉnh lại xương nhằm cân đối cấu trúc răng, nướu để mang đến hiệu quả thẩm mỹ hài hòa, tự nhiên hơn.

Khi nào cần thực hiện mài gồ xương ổ răng?
Không phải trường hợp nào cũng cần mài xương ổ răng. Thông thường, bác sĩ chỉ chỉ định thực hiện khi cấu trúc xương hàm phát triển bất thường, gây ảnh hưởng đến thẩm mỹ hoặc cản trở quá trình phục hình răng. Dưới đây là những tình huống phổ biến cần can thiệp mài gồ xương ổ răng:
Trường hợp xương phát triển quá dày hoặc gồ
Khi xương ổ răng phát triển quá dày hoặc gồ lên bất thường, bác sĩ sẽ chỉ định bệnh nhân mài xương ổ răng để điều chỉnh lại cấu trúc xương hàm. Tình trạng này không chỉ gây mất thẩm mỹ mà còn ảnh hưởng đến quá trình phục hình răng, chỉnh nha hoặc cấy ghép implant sau này.
Việc mài bớt phần xương dư giúp tạo mặt phẳng đều đặn, giúp răng và nướu có sự liên kết hài hòa hơn. Ngoài ra, quy trình này còn giúp hạn chế tích tụ mảng bám và vi khuẩn ở vùng xương nhô cao, từ đó giảm nguy cơ viêm nướu và các bệnh lý nha chu trong tương lai.
Chỉnh hình hô, vẩu
Cắt lợi mài xương ổ răng là kỹ thuật hỗ trợ quan trọng trong nha khoa, thường được thực hiện trước khi tiến hành đặt trụ implant, phục hình hàm giả hoặc niềng răng. Đối với những trường hợp răng hô do xương hàm phát triển quá mức, bác sĩ sẽ mài phẳng các gờ xương nhô cao và loại bỏ phần xương dư thừa.
Quá trình này giúp tái cấu trúc xương hàm chính xác hơn, tạo khoảng trống cần thiết để răng có thể dịch chuyển về đúng vị trí trong quá trình chỉnh nha. Đồng thời, việc mài gồ xương còn góp phần giảm lực đẩy ra phía trước của răng cửa, mang lại hiệu quả thẩm mỹ và cân đối khuôn mặt rõ rệt.

Chữa cười hở lợi do xương ổ răng phát triển quá dài
Cười hở lợi là tình trạng phần nướu phát triển quá mức, che phủ thân răng khiến nụ cười kém tự nhiên và gây khó khăn trong việc vệ sinh răng miệng hằng ngày. Nếu không được điều trị đúng cách, tình trạng này có thể dẫn đến viêm nướu, viêm nha chu hoặc viêm chân răng.
Một trong những phương pháp điều trị hiệu quả hiện nay là mài gồ xương ổ răng kết hợp cắt nướu thẩm mỹ. Kỹ thuật này giúp loại bỏ phần xương nhô ra, tạo hình lại cấu trúc nướu để sau khi cắt, mô nướu có thể bám chắc vào răng một cách tự nhiên. Không chỉ mang lại nụ cười hài hòa, cân đối, phương pháp này còn giúp duy trì sức khỏe răng miệng lâu dài và ngăn ngừa các bệnh lý nha chu tái phát.
Chuẩn bị cho các phương pháp phục hình, như cấy ghép implant hoặc hàm giả
Trước khi thực hiện các kỹ thuật phục hình răng như đặt trụ implant hoặc lắp hàm giả, bác sĩ có thể chỉ định mài gồ xương ổ răng để điều chỉnh lại hình dạng xương hàm. Việc làm phẳng và tạo bề mặt xương ổn định giúp quá trình gắn trụ implant chắc chắn hơn, đồng thời tăng độ bám và khả năng chịu lực cho phục hình răng sau này.
Đối với trường hợp làm hàm giả, kỹ thuật này còn giúp tạo nền xương bằng phẳng, giảm cọ xát và mang lại cảm giác thoải mái khi sử dụng. Nhờ đó, răng phục hình có thể đạt được độ vững chắc, thẩm mỹ và tuổi thọ cao hơn.
Trường hợp chống chỉ định mài xương ổ răng
Mặc dù mài xương ổ răng là một thủ thuật hỗ trợ chỉnh sửa cấu trúc xương và cải thiện tình trạng răng miệng, nhưng không phải ai cũng phù hợp để can thiệp. Một số trường hợp chống chỉ định sau đây được khuyến cáo không nên thực hiện để đảm bảo an toàn. Đồng thời bạn cần thực hiện mài xương ổ răng tại nha khoa uy tín để hạn chế những rủi ro không đáng có:
Chống chỉ định liên quan đến bệnh lý toàn thân
- Bệnh tim mạch nặng: Người mắc bệnh tim dễ đối mặt với nguy cơ biến chứng trong và sau khi làm tiểu phẫu do căng thẳng và đáp ứng cơ thể kém.
- Rối loạn đông máu: Bệnh nhân khó cầm máu trong quá trình thao tác, khiến thủ thuật trở nên nguy hiểm.
- Các bệnh truyền nhiễm nghiêm trọng: Việc phẫu thuật có thể tạo điều kiện lây nhiễm chéo hoặc làm bệnh diễn tiến nặng hơn.
- Tiểu đường chưa kiểm soát: Đường huyết cao dễ dẫn đến nhiễm trùng vết thương và kéo dài thời gian lành thương.
- Suy giảm miễn dịch: Cơ thể yếu khó chống lại vi khuẩn, tăng nguy cơ biến chứng hậu phẫu.
Chống chỉ định do tình trạng răng miệng
- Viêm nha chu nặng: Tình trạng viêm phải được điều trị ổn định trước khi can thiệp vào xương ổ răng.
- Sâu răng chưa xử lý: Lỗ sâu có thể là nguồn gây nhiễm trùng, buộc phải điều trị trước khi phẫu thuật.
- Các bệnh lý nướu: Nướu bị viêm hoặc tổn thương sẽ cản trở quá trình hồi phục.
- Thiếu xương hàm trầm trọng: Xương không đủ cấu trúc nâng đỡ thì việc mài xương sẽ không mang lại hiệu quả như mong muốn.
- Men răng mòn nhiều: Cần phục hồi lại men răng để tránh tăng độ nhạy cảm hoặc gây đau sau thủ thuật.
Các trường hợp khác cần cân nhắc
- Người hút thuốc lá: Nicotine làm giảm lưu lượng máu đến mô, khiến quá trình lành thương chậm và dễ nhiễm trùng.
- Phụ nữ mang thai hoặc cho con bú: Thuốc tê và áp lực trong quá trình can thiệp có thể ảnh hưởng đến mẹ và bé, vì vậy nên trì hoãn.
- Tâm lý sợ hãi quá mức: Sự lo âu có thể ảnh hưởng đến huyết áp, nhịp tim và chất lượng phẫu thuật.
- Tiền sử dị ứng thuốc tê hoặc thuốc dùng trong thủ thuật: Bệnh nhân phải thông báo trước để bác sĩ có biện pháp thay thế phù hợp.
Quy trình mài xương ổ răng diễn ra như thế nào?
Quy trình mài xương ổ răng được thực hiện cẩn thận theo đúng tiêu chuẩn y khoa để đảm bảo an toàn và đạt hiệu quả thẩm mỹ cao. Thông thường, mỗi bên hàm sẽ mất khoảng 30–60 phút tùy theo mức độ can thiệp. Dưới đây là các bước chi tiết trong quá trình mài gồ xương ổ răng mà bác sĩ sẽ tiến hành:
Bước 1: Thăm khám và chẩn đoán tổng quát
Trước khi tiến hành mài xương ổ răng, bác sĩ sẽ thực hiện kiểm tra tổng quát kết hợp chụp X-quang để đánh giá tình trạng xương hàm, độ dày của xương ổ răng và xác định chính xác khu vực cần can thiệp. Đồng thời, quá trình này giúp nhận diện các vùng nhạy cảm như mạch máu, dây thần kinh và mô mềm nhằm đảm bảo an toàn tuyệt đối trong quá trình thực hiện.
Dựa trên kết quả thăm khám, bác sĩ sẽ lập kế hoạch điều trị chi tiết, điều chỉnh kỹ thuật và lựa chọn thiết bị phù hợp cho từng trường hợp cụ thể. Việc này giúp ca điều trị đạt hiệu quả tối ưu và rút ngắn thời gian hồi phục.

Bước 2: Vệ sinh khoang miệng và gây tê
- Trước khi bắt đầu phẫu thuật, bệnh nhân sẽ được hướng dẫn súc miệng bằng dung dịch sát khuẩn chuyên dụng nhằm loại bỏ vi khuẩn trong khoang miệng và giảm nguy cơ viêm nhiễm sau điều trị.
- Tiếp đó, bác sĩ tiến hành gây tê cục bộ tại vùng cần mài xương để đảm bảo người bệnh không cảm thấy đau hay khó chịu trong suốt quá trình thực hiện.
Việc chuẩn bị kỹ lưỡng này giúp ca phẫu thuật diễn ra an toàn, nhẹ nhàng và mang lại hiệu quả cao.
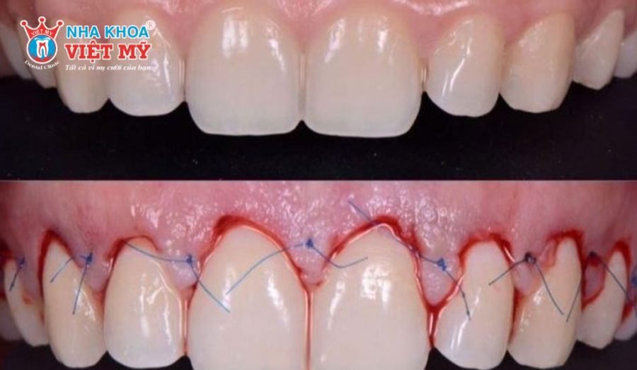
Bước 3: Tiến hành phẫu thuật mài xương
Sau khi gây tê, bác sĩ sẽ nhẹ nhàng bóc tách mô nướu để bộc lộ phần xương ổ răng cần xử lý. Quá trình mài xương được thực hiện bằng thiết bị chuyên dụng, đảm bảo độ chính xác cao và hạn chế tối đa xâm lấn. Bác sĩ sẽ mài theo tỷ lệ đã được tính toán trước tại viền và mặt ngoài của xương, giúp bề mặt sau khi chỉnh sửa trở nên phẳng mịn, cân đối và phù hợp với cấu trúc răng, nướu tự nhiên.
Bước 4: Khâu đóng nướu và hoàn tất quy trình
Sau khi hoàn tất quá trình mài và chỉnh sửa xương, bác sĩ sẽ tiến hành khâu lại mô nướu bằng chỉ nha khoa chuyên dụng để bảo vệ vùng phẫu thuật và hỗ trợ quá trình lành thương nhanh hơn.
Sau phẫu thuật, bệnh nhân sẽ được hướng dẫn chi tiết cách chăm sóc răng miệng tại nhà, bao gồm chế độ ăn uống phù hợp, vệ sinh răng miệng cẩn thận để tránh tác động lên vùng khâu, cũng như hướng dẫn sử dụng thuốc giảm đau và kháng viêm theo đúng chỉ định. Bác sĩ sẽ sắp xếp lịch tái khám định kỳ nhằm theo dõi quá trình hồi phục và đảm bảo kết quả điều trị đạt hiệu quả tối ưu.
Mài xương ổ răng có đau không? Mài xương ổ răng có hại không?
Trên thực tế, bất kỳ phương pháp nha khoa nào có yếu tố xâm lấn đều gây cảm giác đau nhẹ. Tuy nhiên mức độ đau sẽ khác nhau ở từng người tùy vào cơ địa và tình trạng xương hàm. Trong suốt quá trình thực hiện, bác sĩ sẽ gây tê cục bộ để kiểm soát hoàn toàn cảm giác đau. Sau phẫu thuật, cơn đau sẽ giảm dần nhờ thuốc giảm đau và chế độ chăm sóc đúng cách.
Mài xương ổ răng là thủ thuật an toàn nếu được thực hiện tại cơ sở nha khoa uy tín như Nha khoa Việt Mỹ. Bởi đội ngũ bác sĩ tại đây có chuyên môn cao và thiết bị hiện đại. Đồng thời, kỹ thuật này chỉ tác động ở phần ngoài của xương, không ảnh hưởng đến cấu trúc răng hay dây thần kinh.
Sau khi điều trị, nếu bệnh nhân xuất hiện các dấu hiệu bất thường như sốt, đau cứng hàm hoặc chảy máu không cầm thì hãy liên hệ ngay với cơ sở nha khoa để được kiểm tra và xử lý kịp thời.

Chi phí mài xương ổ răng hiện nay là bao nhiêu?
Mức chi phí mài xương ổ răng có thể thay đổi tùy theo tình trạng răng, độ phức tạp của ca điều trị và cơ sở nha khoa bạn lựa chọn. Thông thường, giá cho một ca mài xương ổ răng tại Việt Nam dao động khoảng 2 – 3 triệu đồng. Trong đó bao gồm chi phí thăm khám, chụp X-quang và thực hiện thủ thuật.
Để biết chính xác mức giá phù hợp với tình trạng răng của mình, bạn nên đến thăm khám trực tiếp tại các nha khoa uy tín như Nha khoa Việt Mỹ để được bác sĩ tư vấn chi tiết và đưa ra phương án điều trị cụ thể.

Như vậy mài xương ổ răng giúp điều chỉnh xương hàm, cải thiện thẩm mỹ và hỗ trợ các thủ thuật nha khoa như implant hay niềng răng hiệu quả hơn. Để đảm bảo quy trình điều trị diễn ra an toàn và mang lại kết quả tốt nhất, hãy thực hiện tại Nha khoa Việt Mỹ. Nơi đây hội tụ đội ngũ bác sĩ nha khoa có chuyên môn cao, lành nghề cùng trang thiết bị hiện đại. Hãy liên hệ 1900 636 734 ngay hôm nay để được tư vấn và đặt lịch thăm khám nhé!

Bác sĩ Nguyễn Văn Thuyền tốt nghiệp từ trường Đại học Y Dược Thành phố Hồ Chí Minh, một trong những cái nôi đào tạo y khoa hàng đầu cả nước. Với nền tảng kiến thức vững chắc và sự đam mê với nghề, bác sĩ Thuyền chịu trách nhiệm kiểm duyệt và đảm bảo những thông tin trên website chính xác.











cho dòng răng toàn sứ
1900 636 734
cskh@nhakhoavietmy.com.vn
Ưu đãi đến 35% dòng răng toàn sứ
1900 636 734
cskh@nhakhoavietmy.com.vn
Bài viết liên quan:
Top 10 trường hợp không nên bọc răng sứ tuyệt đối lưu ý
Tìm hiểu kỹ thuật cấy ghép Implant tiêu chuẩn
Bọc răng sứ có bền không? Có giữ được vĩnh viễn không?