1. Hàm Trainer là gì?
Hàm Trainer là một loại khí cụ chỉnh nha được làm từ silicon y tế mềm, trong suốt, an toàn tuyệt đối với môi trường răng miệng. Khí cụ này có chức năng hỗ trợ nắn chỉnh những lệch lạc răng, hỗ trợ răng mọc đúng vị trí và ngăn ngừa thói quen xấu ở trẻ em như mút tay, thở bằng miệng, đẩy lưỡi.
Hàm Trainer có hình dạng Parabol, đa dạng kích thước, có thể vừa khít với nhiều cung hàm. Ưu điểm của hàm Trainer là không có cung hay mắc cài, người dùng dễ dàng tháo lắp, không gây vướng víu hay làm tổn thương bên trong khoang miệng.
Khí cụ này hoạt động theo cơ chế:
- Tác động lực nhẹ nhàng lên răng, giúp định hướng răng mọc đúng vị trí.
- Hỗ trợ điều chỉnh sự phát triển của xương hàm.
- Giúp trẻ rèn luyện thói quen ngậm miệng, thở mũi và nuốt đúng cách.

2. Có những loại hàm Trainer nào?
Dựa trên độ tuổi và mục đích sử dụng, hàm Trainer được chia thành nhiều loại khác nhau. Mỗi loại đều được thiết kế với cấu tạo và độ cứng riêng biệt để phù hợp với từng giai đoạn phát triển của trẻ. Dưới đây là 4 loại hàm Trainer phổ biến:
Hàm Trainer Kids
Hàm Trainer Kids dành cho trẻ từ 6 – 10 tuổi, giai đoạn răng sữa dần được thay thế bằng răng vĩnh viễn. Lúc này, xương hàm vẫn đang phát triển, còn khá mềm. Vì vậy, những góc cạnh của hàm Trainer được gia công ôm sát vào thân răng, mềm mại và không gây đau đớn.
Loại khí cụ này có chức năng nắn chỉnh các vấn đề về khớp cắn như khớp cắn hở, khớp cắn sâu. Đồng thời ngăn chặn và loại bỏ các thói quen xấu như mút tay, cắn móng tay, đẩy lưỡi hay thở bằng miệng, giúp chăm sóc răng miệng trẻ em một cách hiệu quả.
Hàm Trainer Kids được chia thành 3 loại: K1, K2 và K3, tương ứng với từng giai đoạn phát triển răng của trẻ, giúp điều chỉnh hàm răng một cách khoa học và an toàn.
Hàm Trainer loại Juniors
Hàm Trainer Juniors được thiết kế riêng cho trẻ trong độ tuổi từ 3 – 6 tuổi, giai đoạn đang mọc răng sữa. So với Trainer Kids, loại hàm này được làm từ chất liệu mềm hơn để đảm bảo sự thoải mái cho bé khi sử dụng.
Hàm Juniors có tác dụng ngăn ngừa các thói quen xấu như mút tay, cắn môi, ngậm ti giả, đồng thời giúp trẻ đặt lưỡi đúng vị trí. Ngoài ra, hàm Juniors còn có tác dụng nới rộng hàm cho trẻ, tạo điều kiện để răng sữa mọc thuận lợi, không chen chúc.
Để đạt hiệu quả tốt nhất, trẻ nên đeo hàm khoảng một giờ vào ban ngày và duy trì đeo suốt đêm khi ngủ. Hàm Trainer Juniors được ký hiệu là J và có ba loại gồm J1, J2 và J3, tương ứng với từng giai đoạn phát triển răng.
Hàm Trainer loại Adults
Ngoài hai phiên bản dành cho răng miệng trẻ em, hàm Trainer Adults là phiên bản nâng cấp dành cho thanh thiếu niên và người trưởng thành đã mọc đầy đủ răng vĩnh viễn. Loại hàm này có khả năng cải thiện tình trạng răng lệch nhẹ, đồng thời duy trì kết quả sau niềng, hạn chế tình trạng răng chạy về vị trí cũ. Trong nhiều trường hợp, hàm còn có thể kết hợp với các khí cụ chỉnh nha khác để tăng hiệu quả nắn chỉnh. Trainer Adults được ký hiệu là A và chia thành ba loại gồm A1, A2 và A3, phù hợp với từng giai đoạn can thiệp chỉnh nha.
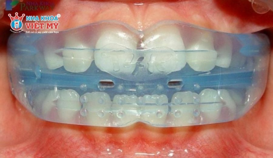
Hàm Trainer loại Teens
Hàm Trainer Teens dành cho trẻ đã mọc toàn bộ răng vĩnh viễn, thường ở độ tuổi từ 10 – 15 tuổi. Đây là giai đoạn xương hàm và răng vĩnh viễn đang phát triển mạnh, vì vậy việc sử dụng Trainer Teens giúp định hình sự phát triển cân đối, hài hòa của răng và khớp cắn.
Loại hàm này có ký hiệu T, bao gồm các dòng T1, T2, T3 và T4, đáp ứng nhiều tình trạng răng khác nhau. Khi sử dụng đúng thời điểm, Trainer Teens không chỉ hỗ trợ điều chỉnh khớp cắn mà còn giảm thiểu các thói quen xấu, giúp trẻ sở hữu hàm răng đều đẹp hơn khi trưởng thành.

3. Hàm Trainer được sử dụng trong những trường hợp nào?
Đeo hàm Trainer là một bước tiền chỉnh nha cho trẻ, giúp việc chỉnh nha trong tương lai dễ dàng, toàn diện hơn. Đồng thời, khí cụ này còn có thể hỗ trợ một số vấn đề nha khoa ở người lớn. Do đó, khí cụ này được chỉ định trong các trường hợp sau:
- Trẻ em trong giai đoạn thay răng: Đây là đối tượng chính được khuyên dùng hàm Trainer. Khi trẻ bắt đầu mọc răng vĩnh viễn (từ 6-10 tuổi), hàm Trainer giúp định hướng răng mọc đúng vị trí trên cung hàm và tạo ra sự phát triển hài hòa của xương hàm. Phương pháp này đặc biệt hiệu quả trong việc khắc phục sớm các vấn đề như răng mọc lệch, sai khớp cắn nhẹ hoặc răng chen chúc.
- Người lớn có sai lệch răng nhẹ: Mặc dù không thể thay thế hoàn toàn niềng răng truyền thống, hàm Trainer vẫn có thể được sử dụng cho người lớn trong một số trường hợp nhất định như: Sai lệch khớp cắn, răng hô, móm, răng thưa hoặc lệch lạc nhẹ. Hàm Trainer còn giúp giữ răng ổn định sau khi tháo niềng.
- Người muốn cải thiện thói quen xấu ảnh hưởng đến răng miệng: Hàm Trainer giúp người dùng, đặc biệt là trẻ em, loại bỏ các thói quen xấu như: Thở miệng, đẩy lưỡi, mút tay.

4. Hàm Trainer giá bao nhiêu? Mua ở đâu?
Hiện nay, trên thị trường, giá hàm silicon Trainer khá đa dạng, phụ thuộc vào chất liệu, khí cụ đi kèm, thương hiệu và nha khoa cung cấp. Vậy, hàm Trainer cho bé giá bao nhiêu? Dưới đây là bảng giá hàm Trainer mà Nha khoa Việt Mỹ đã tổng hợp để bạn có thể tham khảo.
Bảng giá hàm Trainer danh cho trẻ
| Loại hàm Trainer | Giá |
| Hàm cho bé đang mọc răng sữa (Màu xanh) | 1.500.000đ – 2.000.000đ/hàm |
| Hàm dành cho bé từ 5 – 10 tuổi (Màu hồng) | 3.000.000đ – 5.000.000đ/hàm |
Như vậy, ba mẹ nên mua hàm Trainer ở đâu uy tín và đảm bảo chất lượng? Nha khoa Việt Mỹ khuyên rằng, bạn nên tìm đến các phòng khám nha khoa, trung tâm chỉnh nha hoặc các cơ sở nha khoa uy tín, hoạt động lâu năm. Những cơ sở này sẽ có đội ngũ bác sĩ tư vấn trực tiếp, giúp bạn lựa chọn loại hàm phù hợp với trẻ.

5. Niềng răng Trainer cho trẻ em có hiệu quả không?
Nhiều phụ huynh băn khoăn hàm Trainer có tốt không và có thật sự mang lại hiệu quả chỉnh nha cho trẻ. Thực tế, hàm silicon Trainer chỉ phát huy tác dụng khi trẻ ở độ tuổi từ 5 – 10 tuổi, lúc xương hàm còn mềm và chưa thay hết răng sữa. Trong giai đoạn này, hàm Trainer có thể giúp định hướng sự phát triển xương hàm, cải thiện một số sai lệch nhẹ và hạn chế thói quen xấu như mút tay, đẩy lưỡi.
Thông thường, trẻ cần đeo hàm Trainer liên tục trong khoảng 8 – 10 tháng mới thấy rõ sự thay đổi. Tuy nhiên, mức độ hiệu quả còn tùy thuộc vào:
- Tình trạng răng và cấu trúc xương hàm của trẻ.
- Mức độ sai lệch, sai lệch càng phức tạp thì hàm Trainer càng ít hiệu quả.
- Sự kiên trì đeo hàm đúng hướng dẫn và theo dõi định kỳ của bác sĩ.
Ngoài ra, ba mẹ cần lưu ý, hàm chỉnh nha Trainer chỉ làm theo một khuôn mẫu nhất định. Nếu phụ huynh tự ý mua hàm Trainer không qua thăm khám, nguy cơ biến chứng như sai lệch khớp cắn, biến dạng xương hàm hoặc thưa răng có thể xảy ra.

6. Ưu điểm của việc sử dụng hàm Trainer
Hàm Trainer là một trong những khí cụ chỉnh nha tháo lắp sớm, đặc biệt phù hợp với trẻ em ở độ tuổi 5 – 10. Khi sử dụng đúng chỉ định và có sự theo dõi của bác sĩ, hàm này mang lại nhiều ưu điểm:
- Định hướng phát triển xương hàm sớm: Hàm Trainer giúp xương hàm phát triển đúng khuôn mẫu, hạn chế nguy cơ răng mọc lệch lạc ở giai đoạn trưởng thành.
- Ngăn ngừa và cải thiện thói quen xấu: Trẻ thường có thói quen mút tay, đẩy lưỡi hoặc cắn môi, những thói quen này có thể gây sai lệch răng. Hàm Trainer hỗ trợ khắc phục dần các thói quen đó.
- Dễ sử dụng và tháo lắp: Thiết kế mềm dẻo, tiện lợi, trẻ có thể tự đeo – tháo tại nhà dưới sự giám sát của phụ huynh.
- Chi phí thấp hơn so với niềng răng cố định: So với việc phải niềng răng toàn diện sau này, việc can thiệp sớm bằng hàm Trainer giúp tiết kiệm một phần chi phí chỉnh nha.
- Giúp trẻ làm quen trước khi niềng răng: Sử dụng hàm Trainer ở giai đoạn đầu giúp trẻ thích nghi với việc đeo khí cụ, từ đó dễ dàng hơn khi bước vào quá trình niềng răng cố định.

7. Quy trình đeo hàm nắn chỉnh răng bằng hàm Trainer đúng chuẩn
Để đạt được hiệu quả chỉnh nha tối ưu, việc sử dụng hàm Trainer cho trẻ cần được thực hiện theo đúng hướng dẫn của bác sĩ. Ba mẹ nên nắm rõ cách đeo hàm Trainer và quy trình chuẩn sau đây:
- Bước 1: Vệ sinh hàm Trainer trước khi đeo: Trước mỗi lần sử dụng, hãy rửa sạch hàm Trainer bằng nước ấm và xà phòng dịu nhẹ. Bước này giúp loại bỏ vi khuẩn, mạng bám, bảo vệ an toàn sức khỏe răng miệng.
- Bước 2: Chọn thời gian đeo phù hợp: Trẻ nên đeo hàm silicon Trainer ít nhất 1 – 2 giờ vào ban ngày và duy trì trong suốt khi ngủ ban đêm. Thời gian đeo cụ thể có thể thay đổi tùy theo hướng dẫn từ bác sĩ chỉnh nha.
- Bước 3: Đeo hàm: Đặt hàm silicon Trainer vào miệng, đảm bảo phần dày hơn hướng ra phía ngoài. Canh chỉnh sao cho các rãnh trên hàm vừa khít với răng. Cắn nhẹ nhàng để giữ hàm cố định, tránh cắn quá chặt gây biến dạng khí cụ.
- Bước 4: Kiểm tra vị trí và cảm giác khi đeo: Sau khi gắn, hãy kiểm tra xem hàm đã nằm đúng vị trí chưa. Nếu cảm thấy khó chịu hoặc bị cấn, cần tháo ra và điều chỉnh lại trước khi sử dụng tiếp.
- Bước 5: Duy trì thói quen đeo hàng ngày: Ba mẹ cần tạo thói quen đeo hàm Trainer đều đặn giúp quá trình chỉnh nha diễn ra liên tục, mang lại hiệu quả rõ rệt hơn.
- Bước 6: Vệ sinh và bảo quản sau khi sử dụng: Sau khi tháo ra, vệ sinh lại hàm silicon Trainer bằng nước ấm, sau đó cất vào hộp đựng sạch sẽ. Bạn cần tránh để khí cụ ở nơi ẩm thấp hoặc nhiệt độ cao để không bị biến dạng, nhiễm khuẩn.

8. Một số lưu ý khi dùng hàm Trainer
Để việc sử dụng hàm Trainer mang lại hiệu quả chỉnh nha tốt nhất và tránh những rủi ro không mong muốn, ba mẹ cần ghi nhớ một số lưu ý quan trọng sau:
- Vệ sinh răng miệng và hàm thường xuyên: Hướng dẫn trẻ chải răng sau mỗi bữa ăn, vệ sinh hàm Trainer bằng nước ấm và dung dịch chuyên dụng để loại bỏ vi khuẩn, tránh nấm mốc.
- Dừng sử dụng khi gặp vấn đề về răng: Nếu trẻ bị đau nhức, sưng nướu, viêm lợi hoặc có triệu chứng bất thường, cần ngừng đeo ngay và đưa trẻ đến nha sĩ để được thăm khám.
- Kiểm tra tình trạng răng trước khi niềng: Không tự ý mua hàm Trainer theo quảng cáo; cần khám và chụp phim để bác sĩ đánh giá chính xác khớp cắn, cấu trúc xương hàm.
- Đọc kỹ hướng dẫn sử dụng: Tuân thủ đúng cách đeo hàm Trainer theo chỉ định của bác sĩ, đeo đủ thời gian, không ngắt quãng để đạt hiệu quả tốt nhất.
- Những trường hợp KHÔNG nên dùng hàm Trainer:
- Trẻ trên 10 tuổi, xương hàm đã cứng nên hàm Trainer không còn tác dụng.
- Sai lệch phức tạp như hô, móm nặng do di truyền hoặc khớp cắn ngược toàn hàm.
- Trẻ mắc bệnh lý răng miệng như sâu răng, viêm lợi, viêm nha chu chưa được điều trị.
- Trẻ bị nghẽn đường mũi hoàn toàn.

9. Câu hỏi thường gặp về hàm Trainer
Hàm Trainer có chỉnh được răng hô không?
Có thể, nhưng chỉ hiệu quả trong một số trường hợp.
Theo Hiệp hội Chỉnh nha Hoa Kỳ (AAO, 2023), hàm Trainer (hàm tiền chỉnh nha) chỉ giúp điều chỉnh thói quen xấu và hướng mọc răng nhẹ ở trẻ nhỏ, chẳng hạn hô do mút tay, đẩy lưỡi. Tuy nhiên, với răng hô do xương hàm hoặc sai khớp cắn nặng, cần niềng răng cố định hoặc khí cụ chuyên biệt để đạt hiệu quả thực sự.
Bé mấy tuổi nên đeo hàm Trainer?
Thường từ 6–12 tuổi.
Theo Tổ chức Nha khoa Nhi Hoa Kỳ (AAPD, 2022), độ tuổi phù hợp nhất để sử dụng hàm Trainer là giai đoạn thay răng hỗn hợp (khoảng 6–12 tuổi), khi răng và xương hàm còn đang phát triển. Đây là thời điểm hiệu quả nhất để điều chỉnh thói quen và định hướng mọc răng đúng vị trí.
Hàm Trainer là khí cụ chỉnh nha được thiết kế để định hướng phát triển xương hàm và cải thiện một số sai lệch răng ở giai đoạn đầu. Tuy nhiên, không phải độ tuổi nào cũng phù hợp để sử dụng. Ba mẹ hãy đưa trẻ đến cơ sở nha khoa uy tín để được tư vấn phương pháp chỉnh nha phù hợp. Đặt lịch khám sớm tại 1900 636 734 ngay hôm nay cùng bác sĩ Nha khoa Việt Mỹ để được tư vấn loại hàm Trainer phù hợp nhất cho bé!

Bác sĩ Nguyễn Văn Thuyền tốt nghiệp từ trường Đại học Y Dược Thành phố Hồ Chí Minh, một trong những cái nôi đào tạo y khoa hàng đầu cả nước. Với nền tảng kiến thức vững chắc và sự đam mê với nghề, bác sĩ Thuyền chịu trách nhiệm kiểm duyệt và đảm bảo những thông tin trên website chính xác.











cho dòng răng toàn sứ
1900 636 734
cskh@nhakhoavietmy.com.vn
Ưu đãi đến 35% dòng răng toàn sứ
1900 636 734
cskh@nhakhoavietmy.com.vn
Bài viết liên quan:
20 tuổi niềng răng bao nhiêu tiền? Chi phí & phương pháp phù hợp
Niềng răng trong suốt có đau không? Sự thật bạn nên biết
Niềng răng không mắc cài là gì? Có hiệu quả không & giá bao nhiêu?